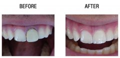
种植牙带给多颗牙缺失患者福音

多颗牙缺失给我们的生活带来了很大的麻烦,特别是对于一些上了年纪的老人,...【详细】
种植半口牙需要多长时间?

俗话说身体是革命的本钱,牙齿健康关乎身体健康,如果半口牙缺失,连饮食都...【详细】
种植牙有什么优势?

种植牙作为修复牙齿缺失和牙齿美容的方法在当今被更多的人接受,种植牙有什...【详细】
种植牙需要注意什么事项?

种植牙已成为牙齿修复的流行趋势,牙齿缺失患者都希望种植牙能够持久地使用...【详细】
3九天“训练营”全方位体验,“小葡萄”融入暨

9月21日,历时9天、跨越5个校区、5500多名本科新生参与的本科新生训练营圆满闭...【详细】
种植牙要花多少钱?

种植牙作为目前牙齿缺失很好的修复方式,堪比天然牙齿,已经被人们所青睐,...【详细】
种植牙可以无痛吗?

种植牙成为牙齿缺失的很好的修复方式,选择种植牙修复的人也越来越多,那么...【详细】
种植牙的适宜人群和不适宜人群

随着医学技术的发展,由于种植牙有着不可媲美的优点,已经成为人们所青睐的...【详细】
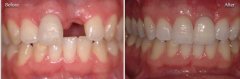
牙齿缺失有哪些危害?

牙齿缺失给我们的生活带来了很大的不便,不仅使我们的形象受损,还会影响身...【详细】
半口牙缺失怎么办?

半口牙缺失给生活带来了很大的麻烦,不仅影响牙齿咀嚼功能,还非常影响颜值...【详细】
版权:广州穗华口腔医院
备案号:粤ICP备15046903号
医疗广告审查证明文号:粤(A)广(2025)第1188号