种植牙成为牙齿缺失的很好的修复方式,选择种植牙修复的人也越来越多,那么种植牙可以无痛吗?随着现代医疗技术的发展,种植牙已经可以采用无痛种植技术。下文让穗华口腔专家来介绍一下吧。

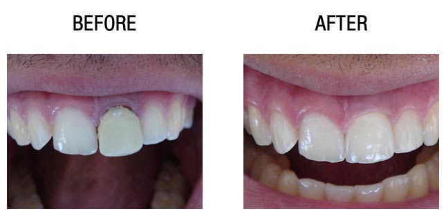
种植牙前后对比
穗华口腔专家介绍,只要医生技术精湛,那么无痛种植牙就是一项非常好的修复效果。无痛种植牙本身是非常安全的。
安全无痛
安全无痛是无痛种植牙大的优势所在。与传统种植牙需要切开翻起牙合、拆线等相比,无痛种植牙将创伤程度降低到小。且种植牙齿的全部过程仅需15分钟,大幅度缩短了种植时间,降低了感染几率。
效果显着
与传统的种植牙不同,微创种牙多采用进口影像诊断定位系统,对患者口腔做全方位扫描,经由电脑计算出精确数据分析定位后,即拔即种,避免了很多的伤害。比如漫长等待种植牙时的伤口感染等现象。
穗华口腔采用3D靶向种植牙技术,是暨南大学多位种植名家多年积累的义齿修复技术和经验,与一系列国际前沿齿科设备结合的产物,应用意大利NewTom曲面断层扫描CBCT技术、德国WIELAND CAD/CAM计算机辅助设计与制作技术、美国Ambulanc笑气镇静镇痛系统、丹麦3shape 3D打印技术及3shape TRIOS激光扫描重建技术等,从5个方面打造穗华种植牙“40年预期留存率”超过90%的“长寿基因”!
温馨提示:如果你在阅读文章时碰到不清楚的地方,可以通过咨询按钮咨询我们专家,如果你需要看病又不想排队挂号,也可以通过这里提前预约,我们将免费为你安排。可以点击我们的在线咨询,或者打电话:020—62266666,我们的在线专家会给您专业又详细的解答。