种植牙作为目前牙齿缺失很好的修复方式,堪比天然牙齿,已经被人们所青睐,由于种植牙修复效果好,所以种植牙的费用一直是要比其他修复方式贵很多的。那么种植牙要花多少钱?下面让穗华口腔专家来介绍一下吧。

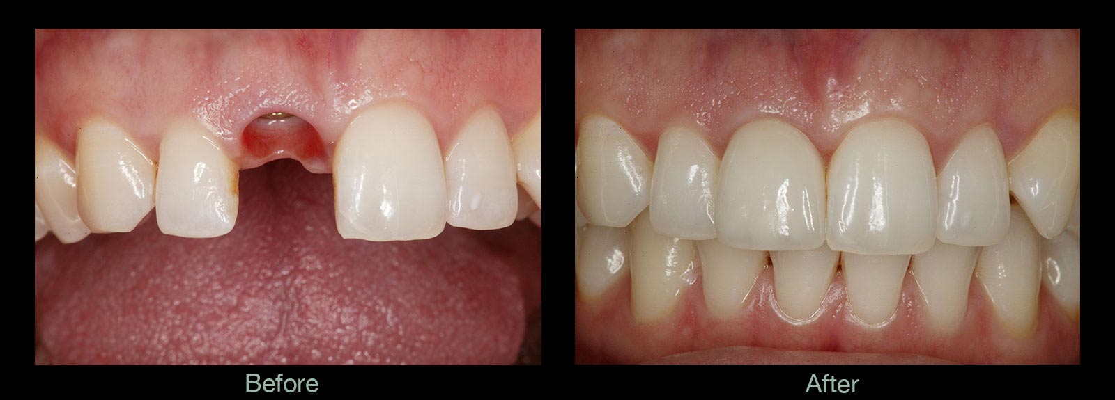
种植牙前后对比
穗华口腔专家介绍,种植牙也叫人工种植牙,是通过医学方式,将与人体骨质兼容性高的纯钛金属经过精密的设计,制造成类似牙根的圆柱体或其他形状,以外科小手术的方式植入缺牙区的牙槽骨内,经过1~3个月后,当人工牙根与牙槽骨密合后,再在人工牙根上制作烤瓷牙冠。因不具破坏性,种植牙已被口腔医学界公认为缺牙的首选修复方式。
种植牙费用包括哪些方面。
种植牙的费用包括种植体、修复基台、手术费用和种植冠费用。通常情况下,做一颗种植牙的费用,就种植体、基台和手术费用,而种植冠的种类比较多,费用也就高低不等。种植体成活以后上面要安装种植冠,每个人可以根据自己的要求和经济条件选择。
以上就是穗华口腔专家对于种植牙要花多少钱的介绍,如果您想了解详细的种植牙价格,欢迎您咨询在线医生。
温馨提示:如果你在阅读文章时碰到不清楚的地方,可以通过咨询按钮咨询我们专家;如果你需要看病又不想排队挂号,也可以通过这里提前预约,我们将免费为你安排。可以点击我们的在线咨询,或者打电话:020—62266666,我们的在线专家会给您专业又详细的解答。百度100遍,不如咨询1次。