牙齿缺失给我们的生活带来了很大的不便,不仅使我们的形象受损,还会影响身体健康。很多人觉得牙齿掉了就掉了,还有其他牙齿可以咀嚼食物,这样想就错了,牙齿缺失的危害不可忽视,那么牙缺失有哪些危害呢?下面我们就来看看穗华口腔专家的介绍。

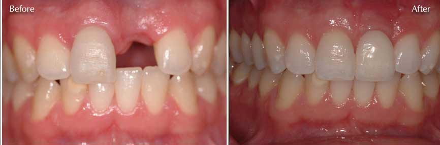
牙齿缺失种植前后对比
穗华口腔专家介绍牙缺失的危害如下:
1、牙齿缺失会使咀嚼效率随之降低甚至丧失,唾液分泌减少,胃肠蠕动减慢。食物还没未嚼碎就进入胃肠,消化系统的负担随之加重,不仅影响营养成分的吸收,严重的还会出现消化系统疾病。
2、当牙齿缺失较多时,剩余牙齿倾斜、移位或向对侧伸长等现象,使咬合关系紊乱,阻碍了下颌骨向前伸或左右运动。长此下去肌肉会出现疲劳,髁突后移,关节盘水肿,甚至出现疼痛、张不开口、关节弹响等症状,临床上称为颞下颌关节紊乱症。
3、脸型在人体美中占有重要的位置。多数人只知道眼睛对人的外貌很重要,却不知道,脸型的美观与谐调,是由完整的牙列来维持的。
4、说话离不开嘴巴,牙齿更是发音的辅助器官。如果前牙或全牙缺失,则会造成不同程度的发音障碍和口齿不清的现象。这不仅影响美观,更影响生活方方面面。
穗华口腔为各位患者推荐3D靶向种植牙技术,该技术具有下面几大优点:
1定位更精准:CT3D颌面扫描、CAD设计方案,实现了种植体精准定位。
2种植更安全:利用激光扫描和3D打印技术制作种植导板(用于精确指导种植体位置和方向的模板),医生在导板辅助下轻松手术,杜绝失误。
3笑气镇痛更舒适:Ambulanc是目前欧美牙医的镇静镇痛技术,能让牙科恐惧症、晕血症和儿童患者轻松愉悦地“享受”牙科治疗。
4治好牙周更长寿:种植牙患者大多有牙周病,而不治牙周病,种植牙迟早脱落。穗华口腔拥有华南领先的牙周科,跨科会诊确保高质量种植牙。
5重建咬合更和谐:种植牙与邻牙不紧密易塞牙,与对牙不协调咀嚼无力。穗华口腔异常重视种植牙的咬合关系,力求让每一颗种植牙都与患者口腔和谐相处。
温馨提醒:关于牙齿缺失有哪些危害这个问题,上文已经为您作出解答。如果你在阅读文章时碰到不清楚的地方,欢迎点击在线咨询与我们专家进行一对一的交流,还可以拔打全国免费热线:020—62266666。您还可以在线挂号,为您节省宝贵的时间。