穗华口腔种植牙哪里好?

种植牙具有其他牙齿修复方式不可媲美的优势,已经可以取代真牙行使牙齿咀嚼...【详细】
种牙好还是镶牙好?

牙齿缺失了,到底是种牙好还是镶牙好?顾客朋友们经常有这种疑问,为了解决...【详细】
广州哪家种植牙医院好?

种植牙具有其他牙齿修复方式不可媲美的优势,已经能替代真牙行使牙齿咀嚼功...【详细】
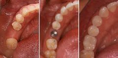
3D靶向种植牙技术,让种牙更轻松

种植牙已经成为当今世界修复牙齿缺失的非常有效的方式,效果有目共睹,深受...【详细】
种植牙医院哪家好?

种植牙修复牙齿缺失的效果有目共睹,很多牙齿缺失患者都选择种植牙,那在做...【详细】
种植牙骨量不足怎么好?

牙齿掉了以后,长时间没有种植,会导致骨槽内骨量不足,理论上说,骨量不足...【详细】
什么是3D靶向种植牙技术?

3D靶向种植牙技术,是暨南大学多位种植名家多年积累的义齿修复技术和经验,...【详细】
成人种植一颗牙需要多少钱?

种植牙已经成为新兴的牙齿缺失修复技术,牙齿缺失后严重的影响了我们的身心...【详细】
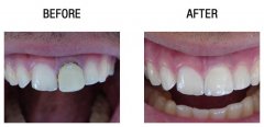
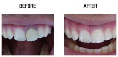
德国CAD/CAM即刻修复门牙缺失

牙齿缺失特别是门牙缺失不但影响到我们的形象美观,也影响到我们的身心健康...【详细】
2015年国际口腔种植大师学术大会即将在穗华开幕

为了推动国际上种植技术的进步与发展,国际上历史最悠久的国际口腔种植医师...【详细】
版权:广州穗华口腔医院
备案号:粤ICP备15046903号
医疗广告审查证明文号:粤(A)广(2025)第1188号