中国科学院外籍院士王中林教授来校访问

10月25日上午,中国科学院外籍院士、美国佐治亚理工学院王中林教授一行莅临...【详细】
拓展国际合作 蒋述卓书记率团访问法、荷、英三

10月12日至21日,暨南大学校党委书记蒋述卓率团访问法国、荷兰和英国,就深入...【详细】
牙齿缺失有什么影响?

牙齿关系到我们的饮食健康,进而影响到我们的身体健康,还会影响到我们的形...【详细】
种植牙会有什么危害吗?

现代种植牙技术已经越来越成熟,接受住了时间的考验,受到牙科医师的推崇和...【详细】
种一颗牙需要多少钱?

种植牙具有其他牙齿修复不能媲美的优点,美观大方、不伤邻牙、独立稳固,因...【详细】
种植牙价格是多少?

种植牙具有无法媲美的优越性,可替代真牙行使牙齿功能,那么种植牙价格是多...【详细】
单颗牙缺失怎么办?

我们的牙齿一般不会掉那么多,有时因为不小心或是意外,造成单颗牙缺失,有...【详细】
单个牙齿缺失有什么危害?

很多人不注意保护牙齿健康,没有树立正确的口腔保健意识,会造成牙齿缺失,...【详细】
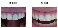
牙齿缺失可以种牙吗?

种植牙被人称为人类的第三副牙齿,具有无可媲美的优点,可以替代真牙行使牙...【详细】
牙齿缺失坏在哪里?

在生活中,由于不注重口腔健康保健,造成牙齿缺失的人群不在少数,那么牙齿...【详细】
版权:广州穗华口腔医院
备案号:粤ICP备15046903号
医疗广告审查证明文号:粤(A)广(2025)第1188号