牙齿关系到我们的饮食健康,进而影响到我们的身体健康,还会影响到我们的形象美观,那么牙齿缺失有什么影响呢?下文让我们来听听穗华口腔专家的介绍。

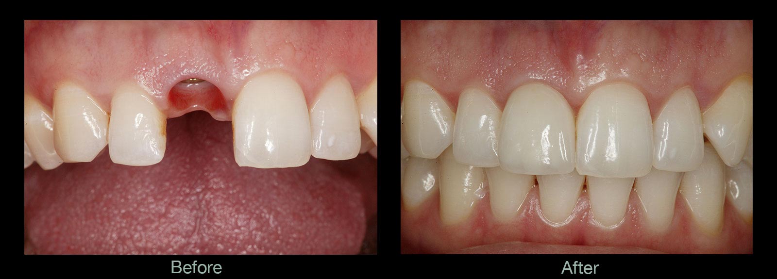
种植牙前后对比
穗华口腔专家指出:牙齿缺失给我们带来以下影响:
1、对剩余牙的影响。当牙齿缺少一颗就会导致相邻的牙齿向缺牙空隙内倾斜、移位,缺牙空隙相对应的牙齿将因无对抗力量而逐渐伸长,咬合关系和牙齿排列出现错乱,致使剩余牙齿失去正常的邻接关系,造成食物嵌塞,亦是导致牙周病的病因之一。
2、对口腔咀嚼效率的影响。牙齿缺失导致咀嚼功能减退或丧失个别或全口牙齿缺损后,咀嚼效率随之降低或丧失,唾液分泌减少,胃肠蠕动减慢,未嚼碎的食物进入胃肠,胃肠系统的负担随之加重,从而导致胃肠功能紊乱,影响人体对营养成分的吸收,严重者机体可出现消化系统的疾病。
3、前牙缺失不仅影响美观还影响发音。当然个别后牙缺失后,对发音影响不大,当缺牙较多时,特别是前牙缺失或全部牙齿缺失时,可造成不同程度的发音障碍,说话既费力又不清楚。
4、牙齿缺失会造成颞下颌关节紊乱症。当牙齿缺失较多时,剩余牙齿倾斜、移位或向对侧伸长等现象,使咬合关系紊乱,阻碍了下颌骨向前伸或左右运动。
穗华口腔专家温馨提醒:牙齿缺失后一定要尽快的进行修复,以免给自己带来严重的后果。现如今,美容修复和种植牙都是现在非常流行的牙齿修复技术,具体的需要根据患者的牙齿缺失情况选择合适的修复方式。
穗华口腔是您爱牙的放心之选
穗华口腔医院是拥有百年人文底蕴的暨南大学附属口腔医院临床教学医院,是广东省卫生厅批准成立的口腔专科医院,是集口腔诊疗、教学和科研为一体的现代化口腔综合医院,承诺永远以顾客的牙齿健康为必要因素,确保给顾客高性价比的口腔治疗,如果您还有什么问题或需要帮助,可在线咨询或拨打热线:020-62266666,将您的问题告诉在线医生,专家不仅能耐心为您分析解答,还能提供预约挂号的服务,让你就诊更方便快捷,“百度100遍,不如咨询一次”。