牙齿缺失特别是门牙缺失不但影响到我们的形象美观,也影响到我们的身心健康,门牙缺失坏处多多,我们就应该及早去修复它。那么门牙缺失修复什么技术好呢?下文请听穗华口腔专家介绍。

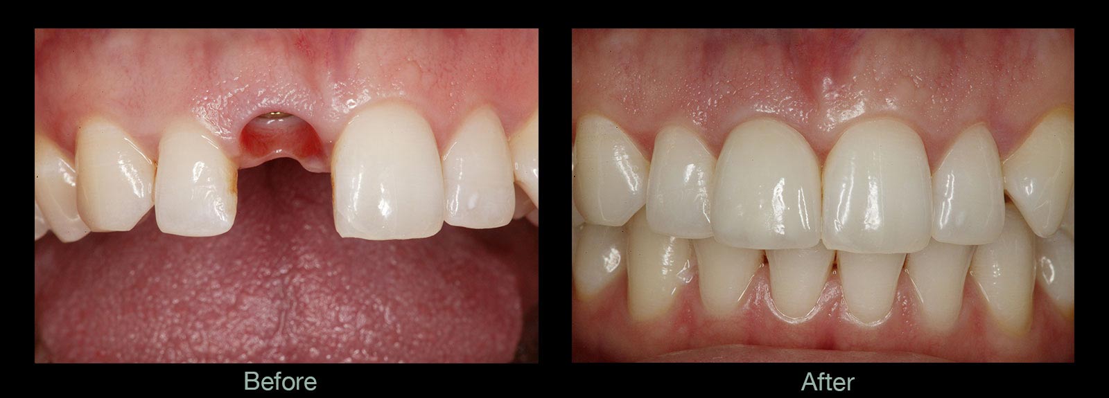
种植牙前后对比
穗华口腔专家介绍门牙缺失坏处多多体现在以下方面:
1、恢复牙齿咀嚼功能:牙齿主要功能是咀嚼食物,前牙有撕裂食物的功效,后牙具磨碎食物的作用。
2、恢复发音功能:缺失前牙对发齿音(知、吃、诗),舌齿音(五、万)等的准确发出有影响,为对语言有要求的职场人带来影响。
3、避免对颞下颌关节影响:不及时镶牙可造成关系紊乱,导致创伤的出现,阻碍下颌前伸及侧方运动。一侧多数牙缺失容易形成偏侧咀嚼,咀嚼肌受力不均等。
4、恢复面部美观:如果门牙缺失,会影响到面部美观,如果后牙缺失较多或全口缺牙,面下部的垂直距离变短,面部皱纹增加,人便显得较衰老。
5、防治牙周病变:一个或两个牙缺失,相邻牙可向空缺间隙倾倒移位,继而邻牙的小间隙出现,给镶牙带来困难,同时引起食物嵌塞,导致牙周病、龋齿。如果牙齿缺失过多,余留牙承担的咀嚼任务过重,牙周组织受创而致牙周膜出血、水肿、牙龈萎缩、牙槽骨吸收、牙齿松动等现象。
穗华口腔专家推荐德国CAD/CAM即刻修复技术:
修复体精准定制:无需依赖传统修复体制作模式,避免口内制取印模、石膏灌制模型、修整模型、修整戴型过程中的误差和不便,确保修复体高度贴合口腔牙齿,保证了义齿内冠的精确性和优良的边缘密闭性,大大减少了修复后基牙的发病率。
治疗时间快:数字取模和传输系统,口腔数据能快速传到技工室,修复体能够在极短的时间内制作完成,相比传统技术明显缩短治疗周期,快可以在2小时内完成修复,同时也有利于牙龈组织成形,迅速恢复患者的美观和部分咬合功能。
穗华口腔是您爱牙的放心之选
穗华口腔医院是拥有百年人文底蕴的暨南大学附属口腔医院临床教学医院,是广东省卫生厅批准成立的口腔专科医院,是集口腔诊疗、教学和科研为一体的现代化口腔综合医院,承诺永远以顾客的牙齿健康为必要因素,确保给顾客高性价比的口腔治疗,如果您还有什么问题或需要帮助,可在线咨询或拨打热线:020-62266666,将您的问题告诉在线医生,专家不仅能耐心为您分析解答,还能提供预约挂号的服务,让你就诊更方便快捷,“百度100遍,不如咨询一次”。