牙齿掉了以后,长时间没有种植,会导致骨槽内骨量不足,理论上说,骨量不足是不可以做种植牙的。因为没有足够的骨量支撑种植体,如果强行种植修复,会对身体造成很大的伤害。那么种植牙碰上骨量不足应该怎么好?下文请听听穗华口腔专家给大家分析一下。
骨量不足应该如何解决?
随着科技日益发达,医疗技术的不断进步,解决牙骨量不足,在于骨移植。牙床骨严重吸收萎缩导致骨量不足,种植体植入时上颌可能穿入上颌窦、下颌进入下颌管者,均不适直接种植,可在植骨改善骨量的条件下同期或延期种植。移植手术并不鲜见,器官移植拯救了无数人的生命,骨移植,同样拯救了不少缺牙患者,让他们能够在缺牙多年后,通过骨移植手术成功种植牙体,恢复健康牙齿,享受幸福生活。

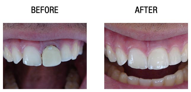
种植牙前后对比
做种植牙就选穗华3D导航模拟种植技术:
精准:
采用意大利NewTom锥形束CBCT,可精确提供关于植入区骨(高度、厚度、宽度、骨密度)、,确保种植的位置、角度、深度与模拟效果分毫不差,精确建立咬合关系。
快速:
种植手术整个周期由传统的6个月缩短为2个月左右,如果配合德国威兰德CAD/CAM“即刻种植,即刻负载”技术,顾客种完牙的当天就可以正常饮食。
微创:
丹麦3shape3D设计系统,进行种植方案完美模拟,并打印出种植导板,医生在术前设计就能轻易地避开重要神经和血管,无需手术切口便可精准植入种植体,出血很少,把种植风险和损伤大大降低。
穗华口腔是您爱牙的放心之选
穗华口腔医院是拥有百年人文底蕴的暨南大学附属口腔医院临床教学医院,是广东省卫生厅批准成立的一家口腔专科医院,是集口腔诊疗、教学和科研为一体的现代化口腔综合医院,承诺永远以顾客的牙齿健康为必要因素,确保给顾客高性价比的口腔治疗,如果您还有什么问题或需要帮助,可在线咨询或拨打热线:020-62266666,将您的问题告诉在线医生,专家不仅能耐心为您分析解答,还能提供预约挂号的服务,让你就诊更方便快捷,“百度100遍,不如咨询一次”。