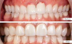
国庆期间能不能快速矫正牙齿?

国庆假期将至,时间充裕,是进行牙齿矫正的好时机,有网友咨询:过庆期间能...【详细】
暨南双星创造第九道奇迹 摘世锦赛银牌

8月29日晚,2015年田径世锦赛男子4x100米接力决赛在鸟巢举行,中国队选手莫有雪...【详细】
牙齿的新贵族——氧化锆牙齿美容修复

每个人都想拥有一口健康美观的牙齿,但是往往事与愿违,很多人的牙齿都会出...【详细】
牙齿完美的几大标准?

个人魅力在微笑时散发出来,往往令人难以抵挡,可是却可能出现这样的问题,...【详细】
全球牙齿美容修复的8大旗帜标准制作

穗华牙齿美容修复,全面强力升级传统烤瓷牙,引进国外牙冠技术,采用国际顶...【详细】
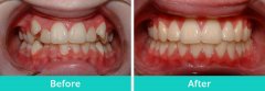
虎牙矫正的好方法

虎牙是指唇侧错位的尖牙,它突出于牙弓之外。由于其牙冠大、牙根长,所以当...【详细】
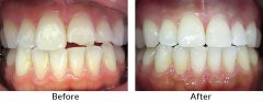
牙齿美容修复的效果如何?

近些年来,牙齿美容修复由于其突出的优势受到广大爱美者的追棒,相比传统的...【详细】
牙齿美容才能让美丽笑容自齿间绽放

女人发自内心的微笑,就像清晨的一缕阳光,不仅仅能够倾倒心爱的男人,也能...【详细】
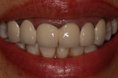
首选全瓷牙-完美解决牙龈变黑

你还在担心烤瓷牙美牙颜色假,出现牙龈变黑的问题吗?如果是,那你就不必担...【详细】
国庆美容牙齿去哪里好?

中秋国庆就要来了,很多爱美人士可以借此空闲去医院进行牙齿美容,在牙齿美...【详细】
版权:广州穗华口腔医院
备案号:粤ICP备15046903号
医疗广告审查证明文号:粤(A)广(2025)第1188号