每个人都想拥有一口健康美观的牙齿,但是往往事与愿违,很多人的牙齿都会出现问题,因此不得不通过美容修复来改善自己的牙齿,那么在现代这么多的牙齿修复材料中,什么材料进行"美牙"效果呢?烤瓷牙,贵金属牙齿还是氧化锆牙齿?据穗华口腔医院牙科专家介绍,目前氧化锆牙齿美容修复已经成为明星们的爱,特别是在发达国家,氧化锆牙齿美容修复成为贵族名媛的。
牙齿美容修复分金属牙齿美容修复和全瓷牙齿美容修复,由于金属牙齿美容修复是用合金做金属基底,再在金属表面上覆盖低熔瓷粉,高温熔铸而成。很多价格低廉的非贵金属的牙齿美容修复 ,就会出现镍铬合金与牙体组织的相容性差,刺激性大,可发生过敏及牙龈变色出现黑线的现象。为了更好地避免这样的问题,德伦口腔医院牙科专家特别推荐全瓷牙齿美容修复,而在全瓷牙齿美容修复中氧化锆是风靡国际的的材料。

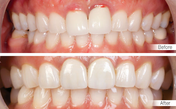
烤瓷牙和氧化锆全瓷牙修复对比
穗华口腔医院牙科专家介绍,氧化锆本来是作为一种航空材料,它的机械性能优异、有着极高的抗压、抗折强度,是目前理想的牙齿美容修复修复,可用在前牙四环素牙、氟斑牙、变色牙等牙齿颜色不好的情况下美容修复,还可以用做改善牙体形态,比如釉质缺损、切角缺损等,对于一些已经做过根管治疗的牙齿可以预防牙体折裂。
氧化锆全瓷牙齿美容修复的优势:
1、氧化锆是一种生物相容性好,优于金属合金(包括黄金)的高科技生物材料。对牙龈无刺激、无过敏反应,很适合应用于口腔。
2、氧化锆全瓷冠没有金属内冠,牙齿的透明度好,折光率接近自然牙,光泽自然。
3、氧化锆全瓷冠拥有很高的密度和强度。的抗破裂性及破裂后强韧的固化性能。可制作6个单位以上的烤瓷桥,解决了所有全瓷系统不能做长桥的问题。具有很强的韧性,坚固耐磨,牙齿可以没有顾虑地吃,不会对牙齿造成伤害。
4、牙齿颜色自然,牙冠边沿不明显,使修复体与健康牙浑然一体很难区分,色泽逼真,有非常强的遮色能力,能够很好的遮盖原牙齿的模样。
如果对比氧化锆牙齿美容修复和一般牙齿美容修复的性能和美观等各方面,很多人都选择了氧化锆全瓷牙齿美容修复,虽然氧化锆牙齿美容修复价格相对较高,但氧化锆牙齿美容修复作为一种长期的修复,避免了金属在口腔内产生的过敏、刺激、腐蚀等不良反应,尢其是氧化锆牙齿美容修复可使修复体同健康牙齿色泽融为一体,受到了爱美时尚人士的一致选择。
选择一家好的医院 挑选好的医师
穗华口腔医院是拥有百年人文底蕴的暨南大学附属口腔医院临床教学医院,是广东省卫生厅批准成立的口腔专科医院,是集口腔诊疗、教学和科研为一体的现代化口腔综合医院,是您看牙的放心信赖之选!以上就是对龅牙治疗方法的介绍,由于篇幅有限,如果您还有其他疑问或需要帮助,还可以点击在线咨询,或者拔打免费热线:020-62266666。百度100遍,不如咨询1次。