全球牙齿美容修复的8大旗帜标准制作

穗华牙齿美容修复,全面强力升级传统烤瓷牙,引进国外牙冠技术,采用国际顶...【详细】
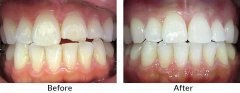
虎牙矫正的好方法

虎牙是指唇侧错位的尖牙,它突出于牙弓之外。由于其牙冠大、牙根长,所以当...【详细】
牙齿美容修复的效果如何?

近些年来,牙齿美容修复由于其突出的优势受到广大爱美者的追棒,相比传统的...【详细】
牙齿美容才能让美丽笑容自齿间绽放

女人发自内心的微笑,就像清晨的一缕阳光,不仅仅能够倾倒心爱的男人,也能...【详细】
首选全瓷牙-完美解决牙龈变黑

你还在担心烤瓷牙美牙颜色假,出现牙龈变黑的问题吗?如果是,那你就不必担...【详细】
国庆美容牙齿去哪里好?

中秋国庆就要来了,很多爱美人士可以借此空闲去医院进行牙齿美容,在牙齿美...【详细】
国庆期间进行牙齿美容时间够吗?

牙齿美容时间要多长,在国庆期间进行牙齿矫正时间够吗?面对网友提出的这个...【详细】
我院荣获省级实验教学示范中心

日前,广东省教育厅印发了《关于公布2015年广东省本科高校教学质量与教学改...【详细】
3D靶向种植牙学术研讨会本周六在穗华口腔召开

缺牙、掉牙是长期困扰许多中老年人的难题,已经严重影响中老年人的生活质量...【详细】
无托槽隐形矫正需要注意什么事项?

无托槽隐形矫正是日前非常流行、非常先进的牙齿矫正方式,它可以在无钢丝、...【详细】
版权:广州穗华口腔医院
备案号:粤ICP备15046903号
医疗广告审查证明文号:粤(A)广(2025)第1188号