种植牙哪种材料好?

种植牙较之其他牙齿修复方式有不可媲美的优点,是目前修复牙齿缺失很好的方...【详细】
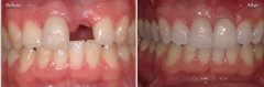
种植牙能用一辈子吗?

种植牙具有其他牙齿修复方式不可媲美的优点,效果非常理想,有不少朋友会问...【详细】
值得您关注的——种植牙价格

种植牙较之其他牙齿修复方式有不可媲美的优点,具有不伤害邻牙以及良好的固...【详细】
种植牙,让牙齿年轻不再是梦

种植牙是目前很好的牙齿缺失修复方式,能够有效改善牙齿形态,越来越多的人...【详细】
多颗牙缺失怎么办好?

今年过年,回家看到外婆掉了两颗牙齿,吃饭非常不方便,咀嚼不力,不能吃香...【详细】
老年人牙缺失怎么办好?

人随着年纪增加,牙齿也随之变得很脆弱,牙齿出现松动然后脱落,老年人本来...【详细】
多数牙缺失种植需要多少钱?

长期的牙齿缺失,牙床发生萎缩、吸收,导致牙床的高度降低,传统戴假牙戴不...【详细】
暨南大学以“科学道德与学风建设”宣讲开启研

9月17日,暨南大学2015级研究生新生入学教育暨科学道德与学风建设宣讲大会在...【详细】
爽!军训“新生之夜”欢享自助餐

南方日报讯(记者/谢嘉玮 通讯员/黄钎乘)2015年9月,各高校又迎来了一年一度...【详细】
牙齿拥挤是怎么造成的?

牙齿拥挤是很常见的一种牙齿畸形,影响健康和美观,其中,前牙拥挤比后牙拥...【详细】
版权:广州穗华口腔医院
备案号:粤ICP备15046903号
医疗广告审查证明文号:粤(A)广(2025)第1188号