牙齿拥挤是很常见的一种牙齿畸形,影响健康和美观,其中,前牙拥挤比后牙拥挤更常见。临床上单纯的牙列拥挤较多见,那么牙列拥挤是怎么造成的?下文请听穗华口腔专家介绍。

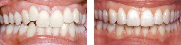
牙齿拥挤前后对比
穗华口腔专家介绍下列造成牙齿拥挤的缘由:
1、替牙期故障:替牙期的故障是造成牙列拥挤的常见病因,如因乳牙早失,造成邻牙前移占据缺牙隙而造成恒牙萌出时间间隙不足而错位,另如乳牙滞留,可造成相继恒牙萌出错位。
2、颌骨发育不足:颌骨发育不足造成大量骨量不调,牙齿不能整齐排列在齿槽内,而拥挤错位。
3、不良口腔习惯:如儿童的吮指,口呼吸等,可造成牙弓狭窄或影响颌骨发育,而致牙齿排列拥挤。
4、遗传因素:牙列拥挤具有明显的遗传特征,从个别牙的拥挤错位或多数牙的拥挤,甚至某一个牙的扭转程度,都可以在亲代和子代上有相同的表现。
穗华口腔为您推荐美国进口隐适美矫正技术
隐适美矫正技术是常见错牙合畸形、多学科联合矫治及正颌等疾病的治疗方法,较传统矫牙,具有矫治器隐形、佩戴舒适和复诊次数少等优势,在功能性、舒适度和美观度有提升。Invisalign隐适美牙套上有螺纹图案,具有哑光效果,牙齿即使在戴上牙套后也不会被发觉,实现真正的“隐形”效果。
隐适美矫正治疗方案包括一系列无托槽隐形矫治器,厚度小于1mm,如同隐形眼镜,每套矫治器均量齿定做,每两周进行更换。随着矫治器的更换,牙齿逐步移动,直至矫正到方案所设计的理想位置。
小编提醒:牙齿拥挤越早治疗效果越好。身体是革命的本钱,请广大患者切勿拖延,尽早就医。如果您有其他相关问题,欢迎点击在线咨询与穗华口腔的专家进行一对一的交流,让专家来解答您的疑惑。