种植牙较之其他牙齿修复方式有不可媲美的优点,是目前修复牙齿缺失很好的方法,对于种植牙修复牙齿的效果,让很多人都感到惊叹的,做种植牙,材料的选择是很重要的。那么种植牙哪种材料好?下面让穗华口腔专家来介绍一下吧。

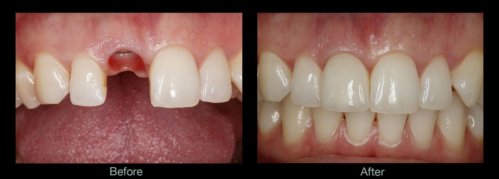
种植牙前后对比
穗华口腔专家介绍,种植牙有哪些材料可供选择:
1,如果按照牙种植体材料:材料可分为金属,陶瓷,碳材料,高分子材料和复合材料。
2,按照种植体的形状:材料可分为螺纹型种植体植入种植体,可有圆柱,叶片,锚状等形状选择。
穗华口腔种植牙很好的医院——3D靶向种植牙技术,是暨南大学多位种植名家多年积累的义齿修复技术和经验,与一系列国际前沿齿科设备结合的产物,应用意大利NewTom曲面断层扫描CBCT技术、德国WIELAND CAD/CAM计算机辅助设计与制作技术、美国Ambulanc笑气镇静镇痛系统、丹麦3shape 3D打印技术及3shape TRIOS激光扫描重建技术等,从5个方面打造穗华种植牙“40年预期留存率”超过90%的“长寿基因”!
1、定位更精准:CT3D颌面扫描、CAD设计方案,实现了种植体精准定位。
2、种植更安全:利用激光扫描和3D打印技术制作种植导板(用于精确指导种植体位置和方向的模板),医生在导板辅助下轻松手术,杜绝失误。
3、笑气镇痛更舒适:Ambulanc是目前欧美牙医的镇静镇痛技术,能让牙科恐惧症、晕血症和儿童患者轻松愉悦地“享受”牙科治疗。
4、治好牙周更长寿:种植牙患者大多有牙周病,而不治牙周病,种植牙迟早脱落。穗华口腔拥有华南领先的牙周科,跨科会诊确保高质量种植牙。
5、重建咬合更和谐:种植牙与邻牙不紧密易塞牙,与对牙不协调咀嚼无力。穗华口腔异常重视种植牙的咬合关系,力求让每一颗种植牙都与患者口腔和谐相处。
温馨提示:如果您还有其他问题或需要帮助,可以点击在线咨询,还可以拔打全国免费热线:020—62266666。百度100遍,不如咨询1次。