牙列不齐有什么影响?

牙齿不齐是儿童在生长发育过程中,由先天的遗传因素或后天的环境因素导致的...【详细】
美容修复牙齿畸形

看看各大娱乐头条上哪些笑靥如花的明星大腕,无一例外都有一口整齐洁白的牙...【详细】
广州牙齿不齐矫正需要多少钱?

您身边的亲朋好友是否正在受牙齿不齐 的困扰,牙齿不齐使患者脸部畸形,还...【详细】
美丽笑容由齿绽放

传统意义上,牙齿是我们重要的咀嚼器官,对于我们的口腔健康和食物消化有着...【详细】
牙齿不齐有哪些矫正方法?

牙齿不齐是指儿童在生长发育过程中,由先天的遗传因素或后天的环境因素,如...【详细】
牙齿不齐可以怎么矫正?

随着人们生活水平的不断提高,牙齿也越来越得到人们的关注,很多人都想通过...【详细】
牙齿矫正修复什么年龄合适?

暨南大学穗华口腔专家认为,现代牙列不齐的人越来越多,是遗传和环境两大因...【详细】
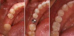
缺了牙齿怎么办?

牙齿缺失,给我们的生活和工作都带来不利的影响。传统的方法是把牙齿补起来...【详细】
牙齿缺失有什么很好的治疗方法?

在当今社会,牙齿缺失已经呈现年轻化的趋势,虽然中老年人是牙齿缺失的主要...【详细】
种植牙术后需要注意什么事项?

种植牙虽然是一个小手术,但是术后的护理还是很重要的。那么,种植牙术后需...【详细】
版权:广州穗华口腔医院
备案号:粤ICP备15046903号
医疗广告审查证明文号:粤(A)广(2025)第1188号