牙齿缺失对健康有什么影响?

据权威报导指出:牙齿完整的人寿命要比牙齿缺失的人长。如果我们的牙齿长期...【详细】
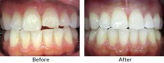
牙齿掉了有什么影响?

牙齿由于各种情况而出现掉牙,有意外撞击也有因为严重牙齿疾病而掉牙的,还...【详细】
暨南大学敦聘M. Fillet、G. Somsen为客座教授

10月13日下午,药学院举行仪式,敦聘比利时列日大学Marianne Louise Hlne Fillet教授...【详细】
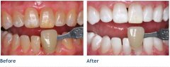
四环素牙是怎么形成的?

每个人生来都拥有一口洁白的牙齿,只是牙齿在后天的生长发育过程中,慢慢地...【详细】
不同程度的四环素牙如何美白?

四环素牙是在牙发育矿化期,服用的四环素族药物,可被结合到牙组织内,使牙...【详细】
翻译学知名教授Roberto Valdeón 获聘暨南大学客座教

10月9日下午,应暨南大学翻译学院的邀请,翻译领域权威期刊Perspectives: Studie...【详细】
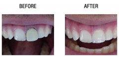
笑容不完美怎么办?

曾经听到有句话即使不开心也不要皱眉,因为你永远不知道谁会爱上你的笑容...【详细】
成功的美容修复怎么辨别?

美容修复能够快速矫正成人畸形牙、色素牙问题,因而受到万千美牙者的青睐,...【详细】
仿生美容冠设计详解

为什么有的人笑起来那么好看,而有的人即使明眸皓齿笑起来也没有什么特别之...【详细】
牙齿不齐怎么办?

随着现代口腔医疗技术的发展,牙齿不整齐 的问题也可以得到矫正,让牙齿重...【详细】
版权:广州穗华口腔医院
备案号:粤ICP备15046903号
医疗广告审查证明文号:粤(A)广(2025)第1188号