牙齿不齐如何矫正?

在社会竞争越来越激烈的今天,一副整齐的牙齿,漂亮的面型不仅有利于牙周健...【详细】
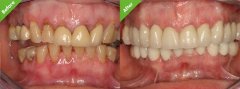
牙列不齐有什么影响?

牙齿不齐又称错颌畸形,是指儿童在生长发育过程中,由先天的遗传因素或后天...【详细】
广州矫正牙齿不齐要多少钱?

您身边有亲朋好友正在受牙齿不齐的影响吗?牙齿不齐使患者脸部畸形,还会对...【详细】
美容修复牙齿畸形

灿烂的笑容是魅力的源泉,而灿烂的笑容源于洁白无瑕的牙齿,可是并不是每个...【详细】
暨南大学胡军校长与本科生一起上课

10月20日,暨南大学胡军校长来到教学大楼,与同学们一起听了管理学院山峻老...【详细】
四环素牙的成因及美白方法

四环素牙是由于服用了四环素类药物引起的牙齿变色。四环素是一种强有力的螯...【详细】
四环素牙如何有效美白?

四环素牙让人的牙齿显得黄而暗淡,好像牙齿生病了一样,非常影响美观,四环...【详细】
四环素牙有什么不好的影响?

四环素牙是指四环素族药物引起的着色牙,属于口腔科疾病,病因是在牙的发育...【详细】
牙齿美白,自信更多一点

牙齿美白,让我们的笑容更加灿烂,也是一种魅力的绽放,牙齿美白,让我们自...【详细】
四环素牙美白价格是多少?

四环素牙给我们的生活带来了很多不良的影响,影响我们的形象,进而影响我们...【详细】
版权:广州穗华口腔医院
备案号:粤ICP备15046903号
医疗广告审查证明文号:粤(A)广(2025)第1188号