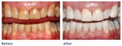
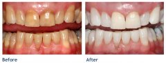
色素牙美白去哪里好?

牙齿上有色素,不能通过刷牙解决问题,牙齿显得很不干净,给人不雅的形象,...【详细】
咖啡牙如何美白效果好?

现在白领都喜欢喝咖啡提神,在精神百倍的状态下,工作效率自然也高,但是咖...【详细】
遗传性色素牙如何美白?

洁白整齐的牙齿是每个人都想拥有的,可是并不是每个人都能拥有的,有些人的...【详细】
茶渍牙美白会痛吗?

茶渍牙美白的方法有很多,每一种方法都给患者不同感受,感受如何因人而异,...【详细】
茶渍牙的美白价格是多少?

牙齿美白已经成为现代热门话题,在口腔医疗技术发展成熟的今天,出现了很多...【详细】
牙齿发黄怎么根治?

牙齿发黄很多人普遍存在的问题,即使是用了很多美白功能的牙膏也没什么效果...【详细】
洗牙能美白变色牙吗?

洗牙是牙科医院对于牙齿和口腔常用的保健清洁方法,它能够彻底去除平时刷牙...【详细】
牙垢怎么有效去除?

在无菌状态下,单纯粗糙的牙垢,对牙龈的机械刺激,并不引起牙龈明显的炎症...【详细】
9月12日“微笑广州·口腔义诊月”种植牙术观摩会

种植牙可以获得与天然牙功能、结构以及美观效果十分相似的修复效果,被称为...【详细】
纪念抗战胜利70周年:归侨倾力创作舞台剧

为纪念中国人民抗日战争暨世界反法西斯战争胜利70周年,暨南大学华文学院侨...【详细】
版权:广州穗华口腔医院
备案号:粤ICP备15046903号
医疗广告审查证明文号:粤(A)广(2025)第1188号