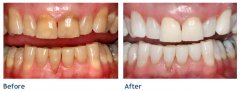
茶渍牙美白后还要怎么保养?

茶渍牙在美白后,还要注意后期的保养,才能维持美白的效果,那么,茶渍牙美...【详细】
黄牙美白去哪里好?

黄牙美白,选择一家好的医院,挑选好的医师,找对合适的美白方法,保证牙齿...【详细】
黄牙美白去哪个医院好?

在生活中,牙齿发黄了,笑容显得难看,令人尴尬,需要通过牙齿美白来使牙齿...【详细】
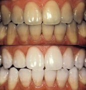
牙齿发黄怎么办?

笑容能让我们绽放自己的光彩,感染到人,有利于增强良好的人际关系,想要绽...【详细】
抽烟导致的牙齿发黄可以美白吗?

据调查,中国有80%的人都在抽烟,在公共场所能看到很多人在抽烟,抽烟不仅会...【详细】
美牙冠修复需要多少钱?

在现代社会,美牙冠修复能够很好解决牙齿畸形、色素牙还有牙齿缺损的问题,...【详细】
统一战线暑期学习班赴广西考察“海上丝绸之路

暑假期间,党委统战部举办2015年统一战线暑期学习班,蒋述卓书记率暨南大学...【详细】
暨南大学承办2015年“粤台学子中华情”交流活动

8月25日至30日,暨南大学和中山大学、广州中医药大学一道,承办了2015年粤台学...【详细】
黑黄牙齿美白去哪个牙科医院好?

在现代,拥有一口健康美观的牙齿,是对自己形象的提升,自我形象的展现,但...【详细】
牙齿发黄是为什么?

在生活中,牙齿发黄让我们面临很多困扰,比如不敢面对别人绽放笑容,影响了...【详细】
版权:广州穗华口腔医院
备案号:粤ICP备15046903号
医疗广告审查证明文号:粤(A)广(2025)第1188号