隐形矫正,让您不再尴尬

很多牙齿不齐想做矫正的爱美者,总是受到钢丝铁牙的阻碍,没有勇气去矫正,...【详细】
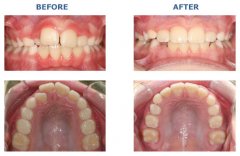
隐形矫正,让矫正不失美丽

现代牙齿矫正技术已经发展到了一个高度,矫正的同时能够维护形象的美丽和健...【详细】
全隐形矫正好在哪里?

全隐形矫正技术是现代先进的矫正技术,能够弥补传统矫正的缺点,矫正过程中...【详细】
龅牙可以用牙套矫正吗?

龅牙是东方人种中一种常见的颌面畸形,在医学专业上实质是上颌前突畸形或双...【详细】
在穗华如何矫正龅牙?

每个人都希望拥有一口整齐洁白的牙齿,可是偏偏有些人却牙齿畸形,龅牙是一...【详细】
孩子什么时候矫牙好?

现代孩子很多都有牙列不齐、龅牙、地包天等牙齿畸形,家长们都担心不已,急...【详细】
成年人如何快速矫正龅牙呢?

成年人颌面骨骼生长发育已经完成,颌面部骨缝已变为骨性融合,可塑性很低,...【详细】
牙齿畸形是怎么产生的呢?

牙齿畸形有很多种,常见的错合畸形有:前牙后,俗称地包天;上颌、下颌以及...【详细】
牙齿矫正期间需要注意什么事项?

牙齿矫正是一个相对比较长的时期,在牙齿矫正期间需要注意一些事项,来达到...【详细】
多生牙怎么办?

多生牙由于一般都长在正常牙齿外面,容易使嘴唇突起,造成面部不协调,让人...【详细】
版权:广州穗华口腔医院
备案号:粤ICP备15046903号
医疗广告审查证明文号:粤(A)广(2025)第1188号