现代孩子很多都有牙列不齐、龅牙、地包天等牙齿畸形,家长们都担心不已,急急忙忙的带孩子去口腔医院检查治疗,希望能在早期就能让牙齿恢复正常状态,那么孩子什么时候矫牙好呢?下文请穗华口腔专家来为大家介绍一下。

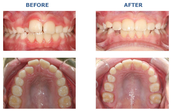
龅牙矫正前后对比
穗华口腔专家表示,大多数情况下,很多家长存在一种错误的观念,都觉得乳牙停止换牙之后,12岁才是牙齿矫正的好时期,经过很多口腔正畸专家的证实,这种观念是片面且有害孩子身体健康的,并不是所有的畸形牙齿都必须等到12岁才可以矫正。因为正常情况下,有不少牙颌畸形其实是一种骨骼发育畸形,这种情况在生长发育过程中就应该预防和矫治。
对于孩子来讲,牙齿矫正先要对孩子的身体进行全面有效的检查,彻底了解孩子牙齿存在的所有问题,指定合适的美牙方案。很多时候人们存在的思想就是牙套修复畸形牙齿只是为了美观,其实牙齿畸形除了影响外部的美观形象之外,还会带来口腔健康问题,如牙齿龋病、牙周炎等,不仅会影响咀嚼,还会影响到说话时的发音,甚至还会给人带来心理问题。
除了上述情况之外,生活中对于那些由于日常不良习惯以及先天性发育性畸形引起的面部左右不对称、严重的龅牙和严重的牙齿拥挤不齐、面部肌功能异常等不良现象,这些都会影响面部骨骼的后天正常发育以及口腔功能,如果是这种情况只要孩子配合,越早牙齿矫正效果越好。
穗华口腔是您爱牙的放心之选
穗华口腔医院是拥有百年人文底蕴的暨南大学附属口腔医院临床教学医院,是广东省卫生厅批准成立的口腔专科医院,是集口腔诊疗、教学和科研为一体的现代化口腔综合医院,承诺永远以顾客的牙齿健康为必要因素,确保给顾客高性价比的口腔治疗,如果您还有什么问题或需要帮助,可在线咨询或拨打热线:020-62266666,将您的问题告诉在线医生,专家不仅能耐心为您分析解答,还能提供预约挂号的服务,让你就诊更方便快捷,“百度100遍,不如咨询一次”。