
主要职务
暨南大学附属穗华口腔医院荔湾院区综合科医师
中华口腔医学会会员
擅长领域
疑难根管再治疗,微创拔牙,根尖手术及牙周手术,各类义齿修复及美学修复。
从业简历
从事口腔临床工作10余年,曾多次在武汉大学附属口腔医院进修学习,熟练掌握显微根管治疗、阻生牙及复杂牙的微创拔除、牙周疾病的基础治疗和牙周手术等临床技术,在数字化美学修复方面有一定的造诣。
学术研究 更多+
治疗案例 更多+
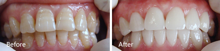
口腔问题:氟斑牙 治疗方案:牙齿美白
口腔问题:四黄素牙 治疗方案:瓷仕白贴面
口腔问题:四黄素牙 治疗方案:烤瓷牙

患者
须知
须知
贯彻国家卫生部新医改政策,严格落实解决挂号难、看病难问题,开展网络自助预约挂号服务。








