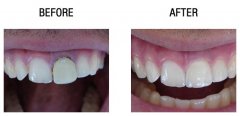
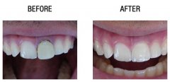
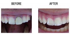
种植牙一颗多少钱?

种植牙在人们眼里非常神秘而价格高昂,但事实真是如此吗?其实,种植牙性能...【详细】
植牙有没有危害呢?

对于有意向种牙的顾客来说,这大概是关心的首要问题吧。那么植牙有没有危害...【详细】
种植牙价格

提起种植牙齿来,相信许多牙缺失顾客都有所听说。但大多数人并不了解,种植...【详细】
种牙有什么优势?

生活中,因为外伤或者口腔疾病导致牙齿脱落的人并不在少数,也许我们会觉得...【详细】
种植牙价格表

种植牙,一直以性能优良、外观逼真、使用时间长的形象出现在公众面前,然而...【详细】
种牙好还是镶牙好?

这个问题想必是许多牙缺失顾客的疑惑。实际上,镶牙和种植牙都可以解决牙齿...【详细】
种植牙的利与弊

随着口腔医学技术的不断发展,越来越多的顾客选择了种植牙修复。那么,种植...【详细】
种植牙多少钱一颗?

许多人都听说过种植牙,但大多数人并不了解,种植牙也分为很多种类,其种类...【详细】
种植牙价格是多少?

随着中国国民口腔健康意识的逐步提高,越来越多的老人开始关注起了种植牙,...【详细】
种牙价格

当我们的牙齿缺失之后,会严重的影响到一个人的美观的问题,单颗牙齿缺失,...【详细】
版权:广州穗华口腔医院
备案号:粤ICP备15046903号
医疗广告审查证明文号:粤(A)广(2025)第1188号