种植牙多少钱?

随着口腔医学技术的不断发展和进步,种植牙也越来越被人广泛接受。在广州,...【详细】
种植牙费用

随着中国国民口腔健康意识的逐步提高,越来越多的老人开始关注起了种植牙,...【详细】
种植牙价格表

种植牙,一直以性能优良、外观逼真、使用时间长的形象出现在公众面前,然而...【详细】
种一颗牙多少钱?

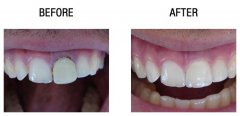
当我们的牙齿缺失之后,会严重的影响到一个人的美观的问题,单颗牙齿缺失,...【详细】
穗华口腔荣获“广州值得信赖权威牙科机构”

2015年12月30号,由南中国一份旗帜性媒体《南方都市报》、医学界专家和其他知...【详细】
种植牙多少钱一颗?

种植牙以其不可媲美的优势,可以取代真牙行使口腔咀嚼的功能,受到广大缺牙...【详细】
“5A卓越引领计划”评审工作收官 彰显榜样力量

12月25日上午8:30,暨南大学5A卓越引领计划的最后两场答辩会5A卓越班集体、暨南...【详细】
种植牙能用多久?

一般来说,种植牙都有十多年以上的寿命,要是患者勤于保养,那用上几十年是...【详细】
种植牙能用一辈子吗?

一般来说,种植牙都有十多年以上的寿命,要是患者勤于保养,那用上几十年是...【详细】
种植牙用什么材料?

种植牙是将人工种植体深植牙骨内,可承受正常的咀嚼力量,功能和美观上几乎...【详细】
版权:广州穗华口腔医院
备案号:粤ICP备15046903号
医疗广告审查证明文号:粤(A)广(2025)第1188号