怎么护理矫正中的牙齿?

牙齿矫正可以改变牙齿的状态,使牙齿恢复自然美观的形态,悉心护理矫正中的...【详细】
隐形矫正让矫正更有面子

牙齿矫正在现代是比较热门流行的口腔整形项目,而顺应时代的发展,隐形矫正...【详细】
牙齿隐形矫正需要多少钱?

俗话说病从口入,拥有一口整齐美观的牙齿,更有利于身体健康,也有利于提升...【详细】
男女牙齿矫正佳年龄相同吗?

牙齿矫正是时代的进步,是人们对生活的高要求,牙齿矫正是给牙齿施加一定的...【详细】
牙齿矫正后怎么护理?

拥有一口健康整齐的牙齿,更有利于身体健康,牙齿矫正可以改变牙齿不美观的...【详细】
老年人做种植牙合适吗?

岁月不饶人,在我们经过努力干出一番事业的时候,父母也逐日衰老。然而我们...【详细】
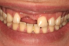
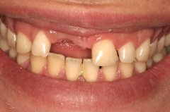
门牙缺失适合做种植牙吗?

牙齿缺失不仅破坏整个牙弓的完整性,还会使邻牙倾斜、移位,严重的还会使脸...【详细】
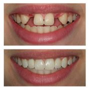
解决门牙缺失的好方法

门牙不慎摔坏了,使得整个牙弓的完整性被破坏,还使得邻牙移位、倾斜,没有...【详细】
牙齿脱落了怎么办?

人生并不能一帆风顺,就像我们的牙齿,如果保护不好的话,也可能会有脱落的...【详细】
孩子意外磕掉牙齿怎么办?

小明是个爱运动的孩子,有一次在足球比赛过程中,不慎摔倒,刚巧磕掉了几颗...【详细】
版权:广州穗华口腔医院
备案号:粤ICP备15046903号
医疗广告审查证明文号:粤(A)广(2025)第1188号