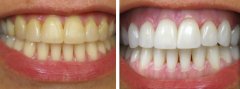
3种牙齿美白的方法

美丽的牙齿谁都想拥有,它让笑容更有魅力,让笑容更有感染力,现代很多人由...【详细】
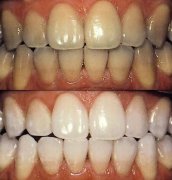
造成色素牙的原因是什么?

色素牙有分两种,外因性色素牙是因饮食、烟茶咖啡等附着于牙齿表面,使牙齿...【详细】
牙齿美白用什么方法好?

随着现代牙科医疗技术的发展,牙齿美白的方法越来越多,可供选择的牙齿美白...【详细】
抽烟导致牙齿发黄要如何美白?

广州穗华口腔专家介绍说:长期抽烟会导致牙齿发黄,更有甚者牙齿发黑。牙齿...【详细】
临床医学虚拟仿真实验教学中心获批“省级示范

日前,广东省教育厅印发了《关于公布2015年广东省本科高校教学质量与教学改...【详细】
色素牙美白后如何护理?

色素牙可以通过美白恢复牙齿的洁白动人,色素牙在美白后,还要通过护理,才...【详细】
茶渍牙采用什么美白技术好?

在现代,因为喝茶形成茶渍牙不在少数,茶渍牙影响形象美观,令笑容难以启齿...【详细】
不同程度的茶渍牙怎么美白?

喝茶已经成为现代生活的一种品味,你是否在喝完茶后没有及时清洁牙齿,是否...【详细】
牙齿如何快速无痛变白?

穗华口腔专家指出:牙齿色素沉淀在生活中很常见,针对这一情况,牙齿美白技...【详细】
牙齿如何快速无痛变白?

穗华口腔专家指出:牙齿色素沉淀在生活中很常见,针对这一情况,牙齿美白技...【详细】
版权:广州穗华口腔医院
备案号:粤ICP备15046903号
医疗广告审查证明文号:粤(A)广(2025)第1188号