皓齿美白30分钟,黄牙黑牙一扫光

俗话说得好貌美齿为先,牙白七分俏,拥有一口美白的牙齿是每个爱美人士的愿...【详细】
牙齿发黄发黑的原因?

在生活中,经常会出现牙齿发黄发黑的情况,广州穗华口腔吴绍荣医师指出,牙...【详细】
有了遗传性黄牙怎么办?

最近某企业单位宋小姐,一直为自己遗传性黄牙苦恼,于是在网上查询了关于遗...【详细】
网友牙齿美白大调查

不久前,搜狐网健康频道特别推出牙齿美白调查,深度了解网友对牙齿美白的了...【详细】
牙齿变黄是为什么?

有些人牙体本身颜色还不错,但是随着年龄的增长,牙齿越来越发黄;另外有些...【详细】
牙齿美白让爱情升温

爱情,总是让人如痴如醉,恋爱中的人永远是非常美丽的,无论男女,都希望把...【详细】
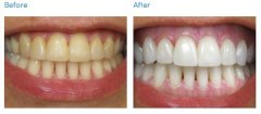
外源性黄牙美白前后对比

外源性黄牙美白前后对比 患者:陈小姐 年龄:23岁 诉求:牙齿颜色黄黄的,怎...【详细】
ESI中国高校百强榜出炉 暨南大学“疯狂”前进

9月14日,ESI中国高校百强榜出炉,暨南大学名列全国第67,全球第1383名,较今年...【详细】
遗传性黄牙美白前后对比

遗传性黄牙美白前后对比 遗传性黄牙美白前后对比 患者:罗小姐 年龄:27岁...【详细】
美白牙齿,让你的笑容更动人

广州某企业的白领小欣说:自己工作时习惯喝咖啡,最近发现自己的牙齿有色素...【详细】
版权:广州穗华口腔医院
备案号:粤ICP备15046903号
医疗广告审查证明文号:粤(A)广(2025)第1188号