牙病预防有必要

牙病预防有必要,暨南大学穗华口腔医院专家提醒广大患者,牙病预防不可忽视...【详细】
吸烟对牙周病有什么危害?

经常有牙周病患者来院治疗被告知要戒烟,往往一笑置之,不够重视。吸烟对牙...【详细】
牙周炎如何治疗?

牙周炎是很常见的口腔疾病,给爱牙人士的口腔带来了很大的危害,那么牙周炎...【详细】
牙周炎如何治疗?

俗话说的好,牙痛不是病,疼起来真要命,牙周炎是很常见的口腔疾病,做好...【详细】
妊娠性牙龈炎如何预防?

许多孕妇发现,平时口腔没有毛病,当她们怀孕2个月以后,每天早晨刷牙时牙...【详细】
《岭南文化书系·客家文化丛书》在暨南大学首发

8月22日,《岭南文化书系客家文化丛书》首发式暨研讨会在暨南大学举行。《岭...【详细】
广州有名的牙科医院

牙齿有问题,食咩都无味,牙齿健康和身体健康密切相关,牙齿有问题最终会危...【详细】
暨南大学召开2015年发展规划战略研讨会

10月10日-11日,暨南大学2015年发展规划战略研讨会在曾宪梓科学馆国际会议厅召...【详细】
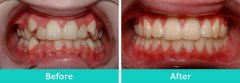
儿童牙齿矫正不同时期的特点

现在儿童错颌畸形的高发与家长们对口腔健康的错误认识和不重视有关,原因有...【详细】
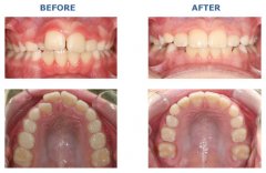
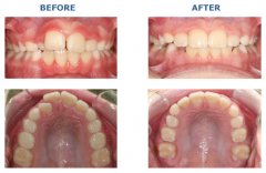
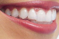
孩子牙齿拥挤可以做隐形矫正吗?

随着生活条件提高,食物越来越精细化,孩子的牙齿就会因为缺乏应有的锻炼,...【详细】
版权:广州穗华口腔医院
备案号:粤ICP备15046903号
医疗广告审查证明文号:粤(A)广(2025)第1188号