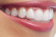
牙齿活动矫正器价格是多少?

牙齿矫正完成后,为了保持矫正的效果,都要戴上活动矫正器来保持矫正效果,...【详细】
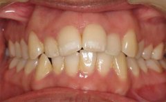
牙列拥挤需要矫正吗?

牙列拥挤对颜面美观或健康造成了严重影响的,不用质疑,应该治疗。广州穗华...【详细】
牙齿拥挤有什么不好?

牙齿拥挤给我们的日常生活带来了很大的不便,造成了不利的影响,那么牙齿拥...【详细】
牙齿缺失有哪些危害?

有些人对牙齿缺失很忽视,长时间缺牙,也没有补上去,甚至牙齿缺失后十几年...【详细】
牙齿种植有什么好?

种植牙具有其他牙齿修复方式无法媲美的优势,稳固牢靠、舒适美观和安全持久...【详细】
看直播,口腔专家教您如何选择种植牙

随着近年来经济和生活水平的提高,越来越多的国人选择用种植牙手术来修复缺...【详细】
现场直播,为您揭秘种植牙手术全过程

据数据显示,我国60岁以上的中老年人缺牙患病率在90%以上,缺牙时间久,不仅...【详细】
牙齿越变越长,能否“磨平”?

广州日报讯(记者伍君仪 通讯员彭维宏)今年62岁的林大妈发现,自己左上侧的...【详细】
种植牙手术全程直播 10月18日约定你

牙齿缺失是令许多中老年人头痛的头号问题。许多牙缺失患者都纷纷选择种植牙...【详细】
看种植牙手术现场直播 获种植牙2送1优惠

重阳节将至,全市各种敬老、爱老、助老之风盛行。这个重阳节,什么是给老人...【详细】
版权:广州穗华口腔医院
备案号:粤ICP备15046903号
医疗广告审查证明文号:粤(A)广(2025)第1188号