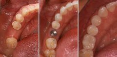
种植牙的利与弊

种植牙是现在牙齿却是很好的修复技术之一,比其他牙齿修复方式更有优势,可...【详细】
种植牙有什么危害吗?

牙齿的缺失影响患者面部的容貌,所以牙齿的修复势在必行。而种植牙是现在牙...【详细】
种植牙的后遗症

牙齿的缺失影响患者面部的容貌,还会影响身体健康,所以牙齿的修复势在必行...【详细】
广州种植牙有什么坏处?

牙齿的缺失影响患者面部的容貌,所以牙齿的修复势在必行。而种植牙是现在牙...【详细】
牙齿种植有什么缺点?

牙齿的缺失影响患者面部的容貌,所以牙齿的修复势在必行。而种植牙是现在牙...【详细】
广州种植牙有什么缺点?

牙齿的缺失影响患者面部的容貌,所以牙齿的修复势在必行。而种植牙是现在牙...【详细】
种植牙有什么缺点吗?

牙齿缺失已经呈现年轻化趋势,由于遗传因素或外在意外导致牙齿缺失的人已经...【详细】
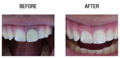
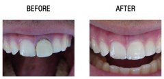
种植牙有什么优点?

牙齿的缺失影响患者面部的容貌,所以牙齿的修复势在必行。而种植牙是现在牙...【详细】
种植牙有什么优点?

牙齿的缺失影响患者面部的容貌,所以牙齿的修复势在必行。而种植牙是现在牙...【详细】
我院正式成为韩国登腾种植牙技术合作单位

10月29日上午,暨南大学穗华口腔医院与韩国登腾种植牙系统公司技术合作单位...【详细】
版权:广州穗华口腔医院
备案号:粤ICP备15046903号
医疗广告审查证明文号:粤(A)广(2025)第1188号