错生牙需要拔除吗?

很多孩子都出现错生牙的情况,必须要引起重视,因为这会影响到以后牙齿的生...【详细】
做反颌矫正哪种方法好?

牙齿反颌是口腔疾病常见的一种,大多是在儿童时间很常见,对于出现牙齿反颌...【详细】
牙错位有哪些危害?

洁白、整齐的牙齿是人人都想拥有的事情,但是往往愿不如意,不少人的牙齿不...【详细】
罗援少将做客百年讲堂

11月12日,我国着名的国际战略学和国家安全学专家、博士生导师、军事科学院...【详细】
庆母校华诞 数百位校友返校植新绿

11月15日上午,由暨南大学校友会主办的109周年校庆系列活动之根系暨南植树活...【详细】
错生牙必要拔除吗?

有位患者咨询:小时候长了多生牙把牙齿都挤歪了,非常的难看,影响了正常的...【详细】
牙齿反颌哪种矫正方法好?

大多数原因,牙齿反颌是由于不良哺乳姿势,乳前牙滞留或早失,上恒切牙先天...【详细】
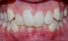
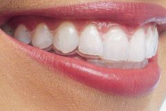
牙齿错颌戴牙套矫正好吗?

牙齿错颌是生活中常见的牙齿畸形问题,许多人就是因为牙齿错颌问题,而十分...【详细】
广州牙缝修复要多少钱?

一些人从小牙齿就长的比较稀疏,有牙缝,不仅影响美观,而且吃东西的时候是...【详细】
广州牙齿矫正哪家医院便宜?

梅子牙齿本来就畸形,但是因为上学的时间比较紧迫,一直没有进行牙齿矫正,...【详细】
版权:广州穗华口腔医院
备案号:粤ICP备15046903号
医疗广告审查证明文号:粤(A)广(2025)第1188号