虎牙会危害健康吗?

很多人会因为拥有虎牙而骄傲,因为有虎牙,笑起来会给人很可爱的感觉,很多...【详细】
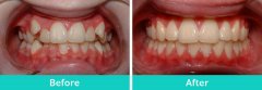
虎牙矫正的正确方式

虎牙突出的朋友不在小数,而且有时候虎牙看起来还很可爱,;这种不影响我们...【详细】
成年人还可以矫正虎牙吗?

儿童时期如果萌出虎牙也不见得就是一件坏事,会给孩子增添几分姿色看起来十...【详细】
爱牙感恩节牙齿矫正公益活动 见证预知矫牙的神

青春,本该拈花一朵的微笑,本该无所顾忌的疏狂。但哪知牙齿不齐的尴尬,让...【详细】
牙齿矫正适应哪些人群?

牙齿关系的外部形象和身心健康,现在无论是大人和孩子,都必须关注它。那么...【详细】
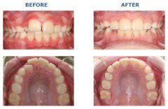
矫正龅牙要拔牙吗?

龅牙是临床上常见的牙齿畸形,大多数的患者表现为牙齿前突,形成一个弯弓弧...【详细】
矫正保持器价格是多少?

牙齿在矫正完成后,需要佩戴矫正保持器一段时间,以维护牙齿矫正的效果,很...【详细】
3D靶向种植术完美修复牙齿稀疏

有些人由于口腔疾病问题或者意外,造成牙齿脱落,牙齿变得稀疏,那么牙齿稀...【详细】
门牙缝大如何矫正?

不少人在牙齿的生长发育过程中,因为遗传或者不当的生活习惯导致门牙缝隙大...【详细】
牙齿难看怎么解决?

难看的牙齿,总是让我们不敢放声大笑,明星般的皓齿总是让我们羡慕不已。可...【详细】
版权:广州穗华口腔医院
备案号:粤ICP备15046903号
医疗广告审查证明文号:粤(A)广(2025)第1188号