牙齿稀疏是怎么形成的?

牙齿是人进食的重要器官,在生活中很多人的牙齿都被各种疾病所困扰,牙齿稀...【详细】
牙齿缝隙是如何变大的?

牙齿缝隙又名牙齿稀疏,是一种常见的口腔疾病。那么牙齿缝隙是如何变大的?...【详细】
怎么使稀疏的牙齿紧密起来?

不知从什么时候起,我们的牙齿变的很稀疏,还很不整齐,这不仅会给形象上带...【详细】
牙列稀疏矫正需要多少钱?

牙齿牙缝过大,导致整口牙齿稀疏难看,说话时发音不准,吃东西时塞牙,种种...【详细】
牙齿前突有什么危害?

牙齿排列不整齐,牙不能闭合是牙齿前突的主要症状,很多牙齿前突患者笑起来...【详细】
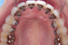
牙齿矫正会使牙齿松动吗?

为了改变一口难看的牙齿,牙齿矫正成为了当下比较流行的修复方法,但是不少...【详细】
补牙缝要花费多少钱?

生活中人们往往有个坏习惯,就是吃完饭后喜欢用牙签剔牙,这样导致牙缝越来...【详细】
前牙稀疏有哪些危害?

在生活中,有许多朋友一直深受前牙稀疏的困扰,前牙稀疏不仅严重影响我们的...【详细】
牙齿稀疏会带来什么问题?

穗华口腔专家介绍,随着人们知识水平的提高,口腔保健意识也有了一定的提升...【详细】
牙套有哪些类型?

无论是东西方在社交圈中,尤其是较高档次的场合,一口整齐、健康的牙齿和优...【详细】
版权:广州穗华口腔医院
备案号:粤ICP备15046903号
医疗广告审查证明文号:粤(A)广(2025)第1188号