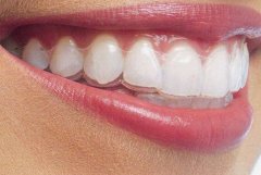
时代天使隐形矫正多少钱?

随着人们对自身美的要求不断提高,矫正牙齿越来越受人关注,很多牙齿畸形患...【详细】
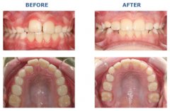
地包天手术矫正价格是多少?

地包天是一种对当事人来说却是非常大的苦恼,为了恢复自己的容貌,维持口腔...【详细】
龅牙矫正大概要多少钱?

龅牙,让人们往往没有了自信心,笑得也不欢快。为此,许多顾客选择了龅牙矫...【详细】
龅牙矫正需要多长时间?

在现实生活中,龅牙是一种比较常见的牙齿畸形现象。龅牙对个人的面容有着很...【详细】
英国校友会回访母校 积极推动中英合作

12月1日下午,暨南大学英国校友会访问团回访母校,参观了校史馆,并与暨大招...【详细】
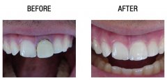
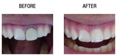
3D靶向种植牙怎么样?

牙齿缺失了怎么办?镶牙、假牙还是烤瓷牙?如果你只知道这些,那你就OUT了。...【详细】
即刻种植牙怎么样?

种植牙按照植入时机分为延期种植牙和即刻种植牙,目前临床较普遍应用的是延...【详细】
种植牙好在哪里?

种植牙具有其他牙齿修复方式所不能媲美的优势,给牙齿缺失患者带来了福音,...【详细】
3D导航模拟种植牙有什么好处?

人类拥有两副牙齿:乳牙与恒牙,而牙医为我们带来了第三副牙齿─人工种植牙...【详细】
种植牙的成败受哪些因素影响?

我们每个人都希望自己能有一个璀璨人生,我们都希望自己的生活就算不能十全...【详细】
版权:广州穗华口腔医院
备案号:粤ICP备15046903号
医疗广告审查证明文号:粤(A)广(2025)第1188号