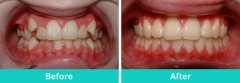
牙齿畸形是怎么产生的?

常见的错合畸形有:前牙后,俗称地包天;上颌、下颌以及双颌前突,俗称龅牙...【详细】
携手“一带一路”高水平大学 胡军校长率团访问

为落实国家一带一路发展战略,助力暨南大学高水平大学建设,11月23日至12月...【详细】
牙齿矫正有什么省时间的方法?

牙齿矫正的方式有很多种,每一种都有对应的特点。省时间的矫正方法,目前是...【详细】
牙齿矫正后怎么护理?

牙齿健康整齐才算得上一口好牙,牙齿矫正就是改变牙齿不美观的方法,但是做...【详细】
广州牙齿矫正哪家好?

微笑给人阳光,给人亲切感,在生活中或许一瞬间的微笑和回眸,都会给人产生...【详细】
牙齿矫正不再担心被看出来

如今美丽的容颜不仅能够为爱情、事业加分,还能够增加自信,帮助自己改变生...【详细】
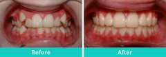
牙齿矫正有什么优点?

其实牙齿不整齐不仅影响外貌,还影响健康和孩子的发育,牙齿矫正不容迟疑。...【详细】
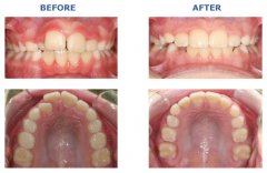
牙齿矫正有什么方法?

随着社会的发展,牙齿矫正手术的方法越来越多了,给牙齿矫正的患者带来很多...【详细】
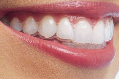
牙齿矫正,你适合哪种牙套?

成人由于社会活动较多,需要与人交往,戴传统铁齿铜牙的心理状态与青少年并...【详细】
牙齿矫正期间需要注意的事项

牙齿矫正需要一个漫长的时间,很多人都因为不细心,或觉得麻烦而造成许多不...【详细】
版权:广州穗华口腔医院
备案号:粤ICP备15046903号
医疗广告审查证明文号:粤(A)广(2025)第1188号