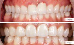
茶渍牙美白需要多少钱?

牙齿洁白是每一个爱美的人都想要的,谁也不想一张嘴就是一口黄牙、黑牙。目...【详细】
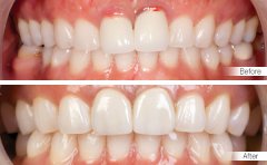
咖啡牙美白需要多少钱?

一系列便捷的快餐方式完全应运了西方文化的发展,在繁忙的工作、交际之余听...【详细】
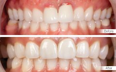
黄牙美白需要多少钱?

黄牙患者想要去美白牙齿时,都会考虑到费用方面的信息,那么黄牙美白需要多...【详细】
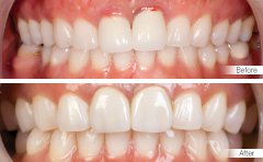
怎么美白抽烟黄牙?

对于爱美人士来说,黄牙对外形的影响是十分重大的,谁不想拥有一口晶莹透亮...【详细】
如何去除牙齿上的烟渍?

暨南大学穗华口腔专家指出,牙齿美白从本质上讲是一种清除牙齿珐琅质和牙釉...【详细】
色素牙怎么解决?

暨南大学穗华口腔专家指出,色素牙是因饮食、烟茶咖啡等附着于牙齿表面,黄...【详细】
色素牙是怎样形成的?

暨南大学穗华口腔专家表示说,我们希望得到周围的人喜欢、尊重和有修养一样...【详细】
色素牙有哪些危害?

暨南大学穗华口腔专家介绍,色素牙是人们常见的一种牙病,其实色素牙的产生...【详细】
牙齿缺损如何修复?

人们常用唇红齿白形容长得健康漂亮,有一口洁白、整齐的牙齿,才能有灿烂的...【详细】
装个烤瓷牙要多少钱?

穗华口腔专家指出,对于贵金属烤瓷牙费用来说,因为其材料是采用金、银等贵...【详细】
版权:广州穗华口腔医院
备案号:粤ICP备15046903号
医疗广告审查证明文号:粤(A)广(2025)第1188号