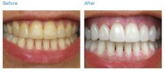
洗牙的全过程

洗牙成为现代都市人不可缺少的牙齿保健项目,不仅可以美白牙齿,还能预防牙...【详细】
气动喷砂洗牙价格

白皙的牙齿让我们的形象更好,体现出我们笑容的魅力,洗牙不但能预防牙结石...【详细】
气动喷砂洗牙费用

白皙的牙齿让我们的形象更好,体现出我们笑容的魅力,洗牙不但能预防牙结石...【详细】
气动喷砂洗牙一般多少钱?

白皙的牙齿让我们的形象更好,体现出我们笑容的魅力,洗牙不但能预防牙结石...【详细】
气动喷砂洗牙大概多少钱?

白皙的牙齿让我们的形象更好,体现出我们笑容的魅力,洗牙不但能预防牙结石...【详细】
气动喷砂洗牙多少钱?

洗牙能让我们预防牙结石的产生,预防口腔疾病的发生,还能洁净下牙齿,维持...【详细】
用气动喷砂洗牙多少钱?

白皙的牙齿让我们的形象更好,体现出我们笑容的魅力,洗牙不但能预防牙结石...【详细】
跨越海峡“品”教学 本科教学核心团队分享赴台

12月17日,一场关于海峡两岸教学观的大讨论在校友楼会议厅里热烈展开。一个...【详细】
洗牙一般去哪里?

牙齿不重视很容易受到色素的烦扰,导致牙齿发黄发黑,影响个人的气质!作为...【详细】
12月27号名医矫牙公开课 揭秘牙齿矫正全过程

青春,本该拈花一朵的微笑,本该无所顾忌的疏狂。但哪知牙齿不齐的尴尬,让...【详细】
版权:广州穗华口腔医院
备案号:粤ICP备15046903号
医疗广告审查证明文号:粤(A)广(2025)第1188号