洗牙大概价格

洗牙有利于口腔卫生的维护,同时,还能够预防治疗牙髓炎。定期的洗牙,不但...【详细】
洗牙的价格是多少?

洗牙是一种很好的牙齿保健手段,有利于口腔卫生的维护,同时,还能够预防治...【详细】
洗牙价格

洗牙,是现在很普遍的牙齿美容,不少人都选择洗牙来清洁牙齿,让牙齿变得更...【详细】
洗牙价格表

人们俗称的洗牙,在医学术语被称之为洁治。所谓洁,就是去掉牙面的细菌、牙...【详细】
“百年讲堂”学期收官之作 葛剑雄教授畅谈海上

12月22日,着名历史地理学家、复旦大学特聘资深教授、全国政协常委葛剑雄做...【详细】
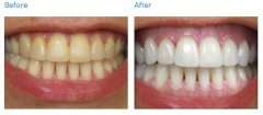
广州哪里做牙齿冷光美白好?

我们日常生活中的刷牙并不能解决牙齿变色的问题,想要牙齿真正地美白,需要...【详细】
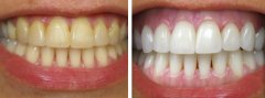
冷光美白哪里做?

暨南大学穗华口腔医院专家告诉我们,一般的刷牙并不能解决牙齿变色的问题,...【详细】
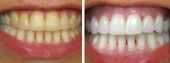
皓齿美白牙齿

如今生活水平不断提高,爱美者们也越来越重视牙齿方面的健康,一口黄澄澄的...【详细】
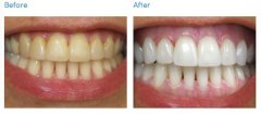
皓齿美白技术

随着医疗技术的不断进步,人们要想自己变得更加的美丽是件很容易的事情,有...【详细】
美国皓齿美白

由于生活习惯和外界环境的影响,很多人在不知不觉中有了变色牙。变色牙不仅...【详细】
版权:广州穗华口腔医院
备案号:粤ICP备15046903号
医疗广告审查证明文号:粤(A)广(2025)第1188号