凭借着坚固耐用,可媲美真牙的外观,种植牙成为了越来越多缺牙顾客的优选修复方式。但是种植牙后要注意什么事项,仍然有部分顾客不甚了解。在此,穗华口腔医院专家表示,种植牙后护理不可忽视。正确爱护与保养种植牙,可大大延长种植牙使用寿命。
种植牙后必须注意的事项:
1、做好口腔与种植牙的日常清洁,定期复查与医疗护理。一般每隔六个月需到专科医院进行洁治,及时清除常规刷牙去不掉的菌斑和结石。同时还要请医生定期检查种植牙的连接部分是否松动、种植牙与天然牙是否出现咬颌不协调,如果发现异常,医生可以及时纠正。
2、做种植牙后24小时内,不能刷手术区牙齿,以免刺激伤口。注意保持口腔卫生,每天早晚坚持刷牙一次,饭后用漱口水含漱数次,防止伤口感染。
3、做种植牙后减少手术区周围肌肉的运动,手术后的三个月内尽量不要大笑、频繁讲话等,以防腮部过分运动而出现伤口撕裂。
4、经常观察种植体及创口的情况,一旦发现问题,及时向医生反映,尽快解决。
5、种植牙手术后当天,患者应吃半流或全流食,拆线以前进软食,不使用手术区的牙咀嚼食物。拔牙后即刻种牙的患者,术后三个月内不宜用种植牙咀嚼过硬食物,要戒烟酒及刺激性食物。
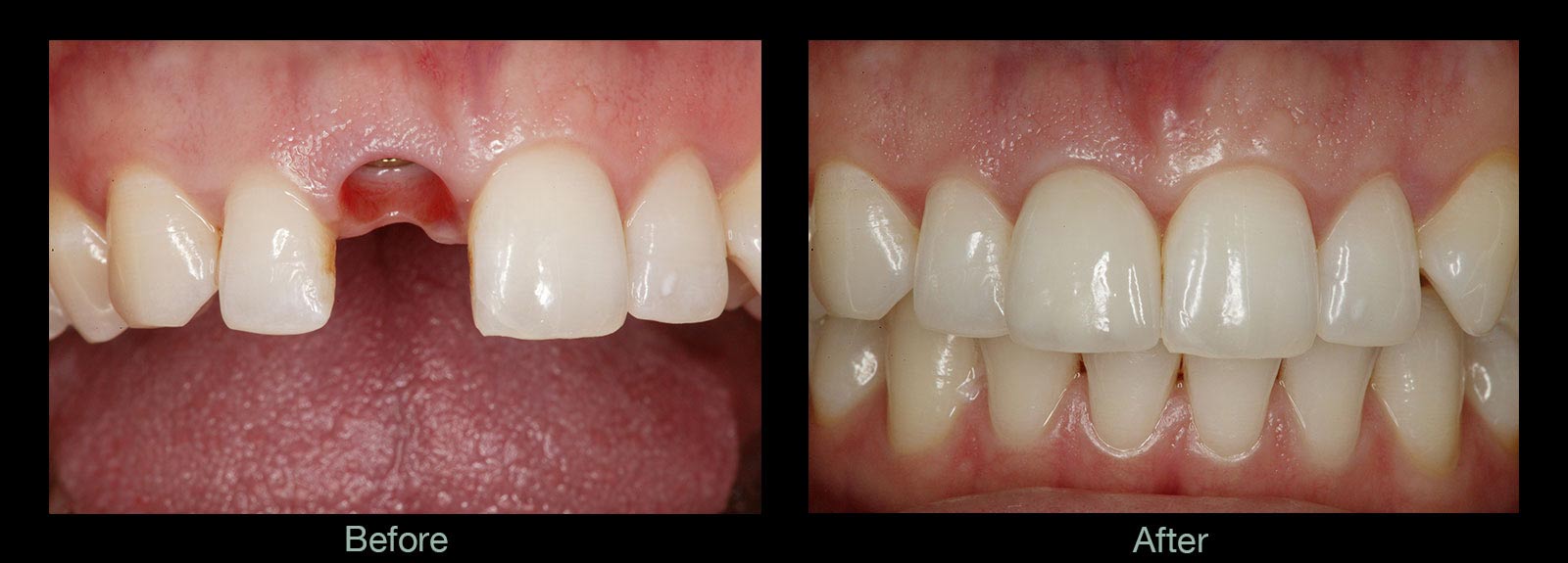
3D靶向种植牙技术,是暨南大学多位种植名家多年积累的义齿修复技术和经验,与一系列国际前沿齿科设备结合的产物,应用意大利NewTom曲面断层扫描CBCT技术、德国WIELAND CAD/CAM计算机辅助设计与制作技术、美国Ambulanc笑气镇静镇痛系统、丹麦3shape 3D打印技术及3shape TRIOS激光扫描重建技术等,从5个方面打造穗华种植牙“40年预期留存率”超过90%的“长寿基因”!
穗华口腔是您爱牙的放心之选
穗华口腔医院是拥有百年人文底蕴的暨南大学附属口腔医院临床教学医院,是广东省卫生厅批准成立的口腔专科医院,是集口腔诊疗、教学和科研为一体的现代化口腔综合医院,组建了由多位博士生导师和国内外知名专家构成的专业口腔专家队伍,承诺永远以顾客的牙齿健康为必要因素,确保给顾客高性价比的口腔治疗。
温馨提醒:牙齿问题是不容忽视的问题,对于牙齿问题,我们应该尽早进行治疗,以免给我们的生活造成不必要的麻烦和困扰。如果您还有什么问题或需要帮助,可在线咨询或拨打热线:020-62266666,将您的问题告诉在线医生,专家不仅能耐心为您分析解答,还能提供预约挂号的服务,让你就诊更方便快捷,“百度100遍,不如咨询一次”。