种植牙是现在牙齿非常好的修复技术之一,主要材料是种植体和牙冠两个部分组成的。植体植入牙槽骨内充当牙根,增加假牙固定性,能够更好的恢复口腔咀嚼受力。那么种植牙有什么优点?下文知道种植牙的优点有哪些吗?下面让穗华口腔医院专家为大家介绍一下。

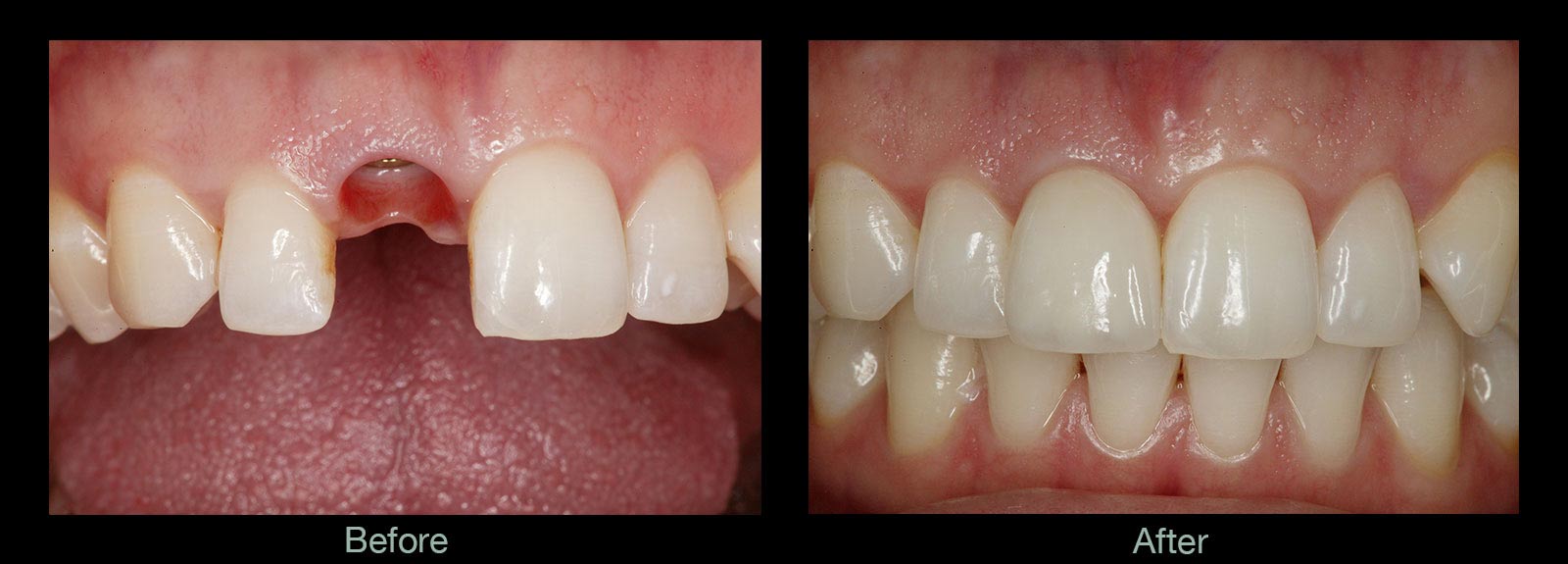
种植牙前后对比
1、固位好:不使用传统镶牙的卡环或牙套,人工牙与牙槽骨紧密结合,像真牙一样扎根在口腔里,具有很强的稳定性。有些不能用活动假牙和固定假牙镶牙的患者就得通过种植牙的方法才能解决。
2、美观:可以根据就诊者的脸型、其它牙齿的形状与颜色制作牙冠,达到整体协调和美观的佳效果,这也是种植牙的优点。
3、功能强:种植牙的优点是能很好地恢复牙齿功能,咀嚼功能大大优于其它传统假牙。
4、不磨牙:种植牙的优点是依靠自身的人工牙根进行修复,不用磨掉旁边的健康牙齿,对牙齿没有任何伤害。
5、舒适方便:不使用活动假牙必需的基托与卡环,没有异物感,非常舒适、方便,而且有利于保持口腔的清洁卫生。操作简单:种植牙手术是一个较小的牙槽外科手术,类似拔牙,采用局部麻醉,创伤小,术后即可进食,几乎无痛苦。由于选用的是与人体相容性极好的生物材料,种植牙对人体不产生。
3D靶向种植牙技术,是暨南大学多位种植名家多年积累的义齿修复技术和经验,与一系列国际前沿齿科设备结合的产物,应用意大利NewTom曲面断层扫描CBCT技术、德国WIELAND CAD/CAM计算机辅助设计与制作技术、美国Ambulanc笑气镇静镇痛系统、丹麦3shape 3D打印技术及3shape TRIOS激光扫描重建技术等,从5个方面打造穗华种植牙“40年预期留存率”超过90%的“长寿基因”!
1、CT3D颌面扫描,定位更精准 2、华南领先牙周科,治好牙周更长寿
3、笑气镇痛更舒适,轻松享受 4、重建咬合更和谐,坚固耐用
穗华口腔是您爱牙的放心之选
穗华口腔医院是拥有百年人文底蕴的暨南大学附属口腔医院临床教学医院,是广东省卫生厅批准成立的口腔专科医院,是集口腔诊疗、教学和科研为一体的现代化口腔综合医院,组建了由多位博士生导师和国内外知名专家构成的专业口腔专家队伍,承诺永远以顾客的牙齿健康为必要因素,确保给顾客高性价比的口腔治疗。
温馨提醒:牙齿问题是不容忽视的问题,对于牙齿问题,我们应该尽早进行治疗,以免给我们的生活造成不必要的麻烦和困扰。如果您还有什么问题或需要帮助,可在线咨询或拨打热线:020-62266666,将您的问题告诉在线医生,专家不仅能耐心为您分析解答,还能提供预约挂号的服务,让你就诊更方便快捷,“百度100遍,不如咨询一次”。