地包天是一种较为常见的牙齿畸形现象,对儿童而言,严重影响孩子的生长发育,一定要尽早矫正。很多人担心牙齿矫正会耽误自己的工作与生活。那么地包天矫正要花费多长时间?下文请穗华口腔医院专家为您介绍一下。

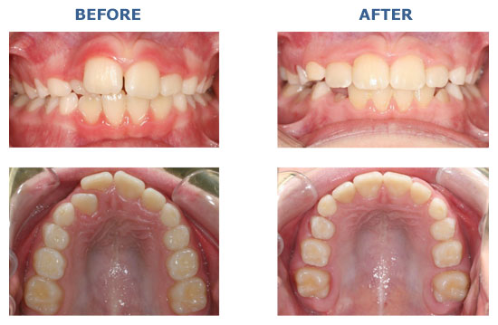
地包天矫正前后对比
穗华口腔专家指出:地包天矫正可以有效的解决我们牙齿排列不齐的现象,这种矫正是一种持久性的治疗,由于每位患者牙齿排列不齐的程度不一,牙齿矫正的方法不同,地包天矫正要多长时间也会存在差异。如果需要拔除多颗牙齿,牙齿矫正时间会相对较长。
一般现在所使用的固定牙齿矫正器,矫正治疗时间大约需要持续二年左右的时间,这是因为牙齿在牙槽骨中的移动是一种生理性的改建过程,所以它要求符合生理的特点。过快以及过大的矫正治疗会给我们的牙齿带来不可逆转的病理性损害。只要根据科学原理合理矫正牙齿,牙齿在地包天矫正后是不会出现松动现象的。
穗华口腔专家提醒:越早进行牙齿矫正,地包天矫正的时间就会相对越短。因此,建议有牙齿矫正需求的顾客朋友,尽早去医院咨询。
穗华口腔是您爱牙的放心之选
穗华口腔医院是拥有百年人文底蕴的暨南大学附属口腔医院临床教学医院,是广东省卫生厅批准成立的口腔专科医院,是集口腔诊疗、教学和科研为一体的现代化口腔综合医院,组建了由多位博士生导师和国内外知名专家构成的专业口腔专家队伍,承诺永远以顾客的牙齿健康为必要因素,确保给顾客高性价比的口腔治疗。
温馨提醒:牙齿问题是不容忽视的问题,对于牙齿问题,我们应该尽早进行治疗,以免给我们的生活造成不必要的麻烦和困扰。如果您还有什么问题或需要帮助,可在线咨询或拨打热线:020-62266666,将您的问题告诉在线医生,专家不仅能耐心为您分析解答,还能提供预约挂号的服务,让你就诊更方便快捷,“百度100遍,不如咨询一次”。