随着科学技术的发展,越来越多的地包天患者选择矫正来改善牙齿,矫正对于很多人来说,有些陌生,矫正的过程也不太清楚。下文请穗华口腔医院为大家介绍一下地包天矫正的步骤。穗华口腔专家介绍地包天的矫正步骤有:

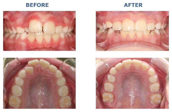
地包天矫正前后对比
1、初诊
医生根据病人的愿望和畸形的情况,初步估计治疗的大体方案,将大概的治疗方法、需要治疗的时间、花费以及注意事项告诉矫牙者。如果矫牙者有矫正的意向,医生则安排病人照相、照线片、印牙模。医生对这些相片、线照片、牙齿模型进行测量和分析,再根据这些资料的分析结果决定治疗方案。
2、准备
医生把详细的治疗计划与矫牙者沟通交流,征求矫牙者同意并签署知情同意书,不少矫牙者在戴矫治器前需拔牙,有些需要补牙、洗牙等。
3、矫治
目前常用的矫治方法分为活动矫治和固定矫治两大方法:活动矫治器可以由患者自行取出和戴上粘固于牙齿上,固定矫治器自己不能取下,用于简单的矫治。活动应用较广,可用于复杂的矫治适用于乳牙期和替牙期恒牙期的青少年及成年人,对一些严重的骨性畸形还可能需要采用外科手术的方法来矫治。
4、保持
当牙列畸形得到矫正,医生从专业角度认为已经符合要求时,会拆除原来的矫治器,接着还需要给病人戴上保持器,防止牙齿移位。保持一般也需要一年多的时间,约每三个月复诊一次。
穗华口腔是您爱牙的放心之选
穗华口腔医院是拥有百年人文底蕴的暨南大学附属口腔医院临床教学医院,是广东省卫生厅批准成立的口腔专科医院,是集口腔诊疗、教学和科研为一体的现代化口腔综合医院,组建了由多位博士生导师和国内外知名专家构成的专业口腔专家队伍,承诺永远以顾客的牙齿健康为必要因素,确保给顾客高性价比的口腔治疗。
温馨提醒:牙齿问题是不容忽视的问题,对于牙齿问题,我们应该尽早进行治疗,以免给我们的生活造成不必要的麻烦和困扰。如果您还有什么问题或需要帮助,可在线咨询或拨打热线:020-62266666,将您的问题告诉在线医生,专家不仅能耐心为您分析解答,还能提供预约挂号的服务,让你就诊更方便快捷,“百度100遍,不如咨询一次”。