牙齿不齐在人群中很常见,牙齿不齐不但会影响牙齿美观,对口腔健康也很有影响,那么牙齿不齐具体有哪些坏处呢?下文为大家做出介绍。

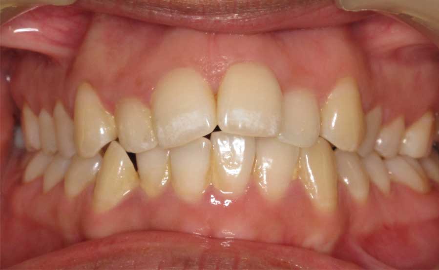
牙齿不齐
牙齿不齐有以下的坏处:
1、牙齿不齐常伴有牙齿拥挤的情况,表现为牙齿里出外进,不美观,不易清洁,这样很容易患龋齿,并且还易形成牙结石,从而引起牙周疾病。此外,牙齿不齐对牙齿的咀嚼功能也会造成一定的障碍。
2、牙齿排列不齐直接影响刷牙,有些缝隙刷不到,使食物残渣在死角里滋生细菌,容易形成蛀牙;口腔清洁也受到影响,长期以往将引发牙周炎近而导致牙齿松动。
3、些人因牙齿排列不齐还会导致牙齿异常磨损,引起口臭、颞下颌关节问题等,严重的会影响说话发音。
因此,患有牙齿不齐应尽快到正规口腔专科接受治疗。穗华口腔专家为广大患者推荐美国隐适美矫正技术。
隐适美隐形矫正技术,来自美国的进口"隐形牙箍",不用钢丝、不用托槽,丝毫不影响美观。外表近乎透明,厚度更小于 1mm,戴上去几乎看不出来。可自行摘带,卫生方便,让患者在不知不觉中恢复正常颌面形态。
温馨提醒:牙齿不齐、龅牙等常见的症状都属于牙齿畸形,可以进行矫正治疗。广大患者切勿因为轻视,而错过好的的矫正时间。如果您还有其他疑问或需要帮助,还可以点击在线咨询,或者拔打免费电话:020—62266666。百度100遍,不如咨询1次。