种植牙是目前修复牙齿缺失很有效的方式,具有其他牙齿修复方式不可媲美的优点,那么种植牙哪里好,好在哪里?下面列举一位女士的经历,相信你一定会有答案。

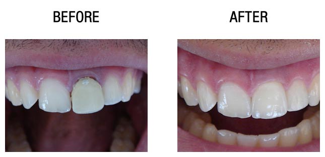
种植牙前后对比
来自天河区的王女士对此深有感触。14岁时的她不幸遭受意外失去了上排3颗牙齿,随着时间的推移以及护理不当等问题,30岁时她的上排牙齿就几乎掉光了,不仅无法尽享美食,更让她崩溃的是容颜因此而渐显苍老。
饱受假牙疾苦的张女士,通过医学院的朋友、报纸、甚至远在美国的亲友推荐等多方面的渠道,了解到穗华口腔拥有专业种植技术,于是来到了穗华口腔。根据王女士的口腔情况和她本人对牙齿美观、咀嚼功能的两大要求,穗华专家为她定制3D靶向种植牙,既能快速修复牙齿,恢复咀嚼,同时能够达到较好的美观程度,该技术具有微创无痛的特点,也能避免她遭受痛苦。手术结束时,王女士的牙齿焕然一新、宛若新生。
种植牙哪里好?
3D靶向种植牙技术,是暨南大学多位种植名家多年积累的义齿修复技术和经验,与一系列国际前沿齿科设备结合的产物,应用意大利NewTom曲面断层扫描CBCT技术、德国WIELAND CAD/CAM计算机辅助设计与制作技术、美国Ambulanc笑气镇静镇痛系统、丹麦3shape 3D打印技术及3shape TRIOS激光扫描重建技术等,从5个方面打造穗华种植牙“40年预期留存率”超过90%的“长寿基因”!?
1定位更精准:CT3D颌面扫描、CAD设计方案,实现了种植体精准定位。
2种植更安全:利用激光扫描和3D打印技术制作种植导板(用于精确指导种植体位置和方向的模板),医生在导板辅助下轻松手术,杜绝失误。
3笑气镇痛更舒适:Ambulanc是目前欧美牙医的镇静镇痛技术,能让牙科恐惧症、晕血症和儿童患者轻松愉悦地“享受”牙科治疗。
4治好牙周更长寿:种植牙患者大多有牙周病,而不治牙周病,种植牙迟早脱落。穗华口腔拥有华南领先的牙周科,跨科会诊确保高质量种植牙。
5重建咬合更和谐:种植牙与邻牙不紧密易塞牙,与对牙不协调咀嚼无力。穗华口腔异常重视种植牙的咬合关系,力求让每一颗种植牙都与患者口腔和谐相处。
以上就是关于种植牙哪里好的介绍,如果想了解更多资讯,欢迎点击咨询在线专家,或拨打免费热线:020—62266666,穗华口腔专家将用专业的意见提供给您优质的咨询服务。