牙齿缺失会影响发音、造成面颊窝陷更显老,重要的是饮食困难严重危害身体健康。牙齿缺失应该及早修复好,以避免不必要的麻烦,那么牙齿缺失具体有什么坏处,下面请听穗华口腔专家为我们做详细的介绍。

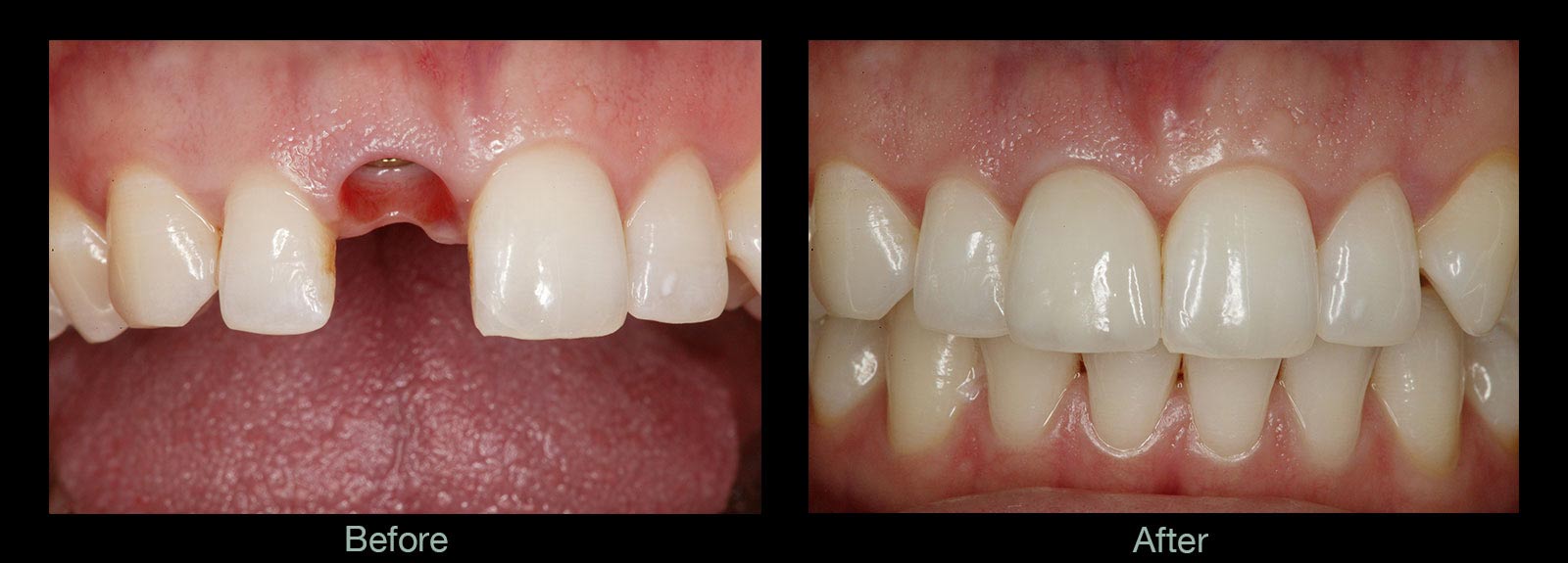
种植牙前后对比
牙齿缺失的坏处:
1、导致面部畸形:
如果一个人的牙齿缺失在内部口腔的话,常常会导致这个人出现偏咀嚼的情况,长此以往就会导致两面脸颊不对称的情况出现,甚至一些严重的没有偏咀嚼问题困扰的爱美人士,也会因为口腔内的两边牙齿不对称而导致面部畸形,这种情况是比较严重的,所以要求受术者一定要及时对缺失的牙齿进行修复。
2、对外貌的影响:
一个正常人的牙齿的数量是28个,但是有一些人会长智齿,这种人的牙齿大概是32颗左右,而如果成年人口腔内的牙齿数量少于28个,那就表示有牙齿缺失了,这种人如果是牙齿缺失在里面的话,对外形的影响还小一些,但是如果牙齿缺失的是门牙的话,那对于受术者的外形影响是很大的。
3、影响消化系统的正常功能:
一旦口腔内的牙齿缺失就会是的原本咀嚼食物时所需要的唾液明显的减少,一旦唾液减少,就会连累受术者的肠胃蠕动变慢,时间一长,受术者就可能出现一些消化系统的疾病。
4、影响口腔发音:
这种牙齿缺失导致发音受影响的情况也是比较常见的,这是因为一旦牙齿缺失,舌尖可能就会原有的发音定位标志,气流经过时少了一道抵挡的关口,于是才有了说话听起来就像漏风一样,这种情况是需要爱美人士进行牙齿修补的。
广州穗华口腔,您美牙护牙放心之选!
穗华口腔医院是拥有百年人文底蕴的暨南大学附属口腔医院临床教学医院,是广东省卫生厅批准成立的口腔专科医院,是集口腔诊疗、教学和科研为一体的现代化口腔综合医院,是您看牙的放心信赖之选!为了您的健康,请不要再以工作忙为借口拖延治疗。如果您还有其他问题或需要帮助,可以点击在线咨询,还可以拔打全国免费热线:020—62266666。百度100遍,不如咨询1次。